| 40x   |   Hematoxylin and Eosin | ||||
| Close Window | Macro View | Show Help | Back | |
|
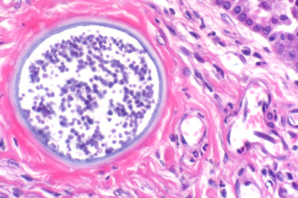
Sporangium with anisotropic wall and numerous endospores. The adjacent vessel contains two tangential sections of microfilaria (arrows).
|
||||
|
||||
| Return | ||||
|
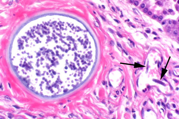
Sporangium with anisotropic wall and numerous endospores. The adjacent vessel contains two tangential sections of microfilaria (arrows).
|
||||