40x   |   Hematoxylin and Eosin
Close Window
Macro View
Show Help
Back
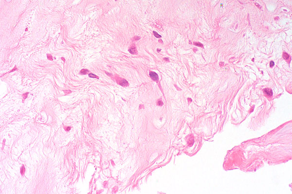
There are multifocal spindle cells (fibroblastic metaplasia) (arrows).
Return
There are multifocal spindle cells (fibroblastic metaplasia) (arrows).