| 40x   |   Hematoxylin and Eosin | ||||
| Close Window | Macro View | Show Help | Back | |
|
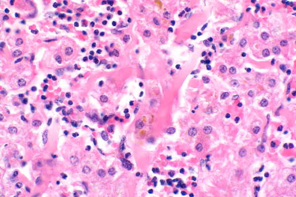
Subendothelial collagen (fibrosis) (*) expands sinusoids and disrupts hepatic cords architecture. Surrounding hepatocytes are swollen with vacuolated cytoplasm (degeneration), or shrunken with cytoplasmic hypereosinophilia and pyknotic nuclei (necrosis).
|
||||
|
||||
| Return | ||||
|
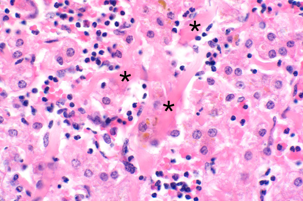
Subendothelial collagen (fibrosis) (*) expands sinusoids and disrupts hepatic cords architecture. Surrounding hepatocytes are swollen with vacuolated cytoplasm (degeneration), or shrunken with cytoplasmic hypereosinophilia and pyknotic nuclei (necrosis).
|
||||