| 4x   |   Hematoxylin & Eosin | ||||
| Close Window | Macro View | Back | ||
|
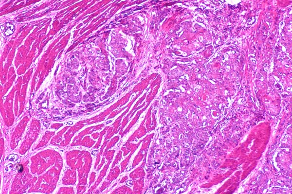
Nests of neoplastic cells often contain central, extracellular, eosinophilic, lamellated material (keratin pearls).
|
||||
|
|
||||
| Return | ||||
|
Nests of neoplastic cells often contain central, extracellular, eosinophilic, lamellated material (keratin pearls).
|
||||