40x   |   Hematoxylin and Eosin
Close Window
Macro View
Back
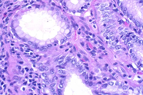
Ectatic gland that contains lighly basophilic bacilli.
Return
Ectatic gland that contains lighly basophilic bacilli.