| 10x   |   Hematoxylin and Eosin | ||||
| Close Window | Macro View | Show Help | Back | |
|
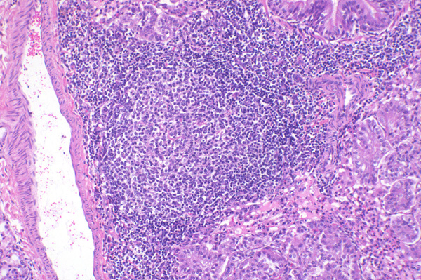
The blood vessel is surrounded by prominent lymphoid tissue that contains a germinal center (*).
|
||||
|
||||
| Return | ||||
|
The blood vessel is surrounded by prominent lymphoid tissue that contains a germinal center (*).
|
||||