| 2x   |   Hematoxylin and Eosin | ||||
| Close Window | Macro View | Back | ||
|
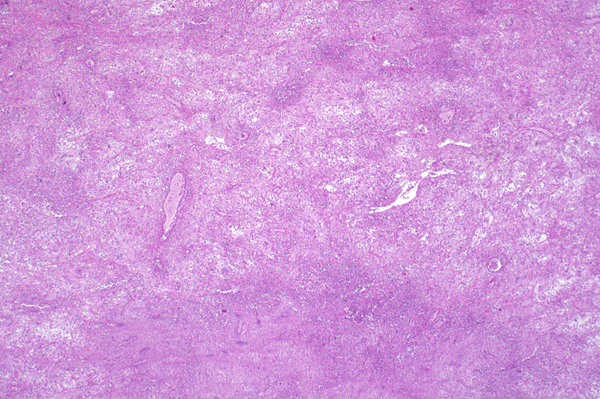
Diffusely, lymphoid tissue is lost and lymph node architecture is replaced by eosinophilic material and inflammatory cells.
|
||||
|
|
||||
| Return | ||||
|
Diffusely, lymphoid tissue is lost and lymph node architecture is replaced by eosinophilic material and inflammatory cells.
|
||||