| 4x   |   Hematoxylin and Eosin | ||||
| Close Window | Macro View | Show Help | Back | |
|
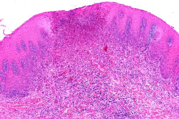
There is a cellular infiltrate within the dermis. The epithelium is diffusely hyperplastic, and is focally ulcerated (*).
|
||||
|
||||
| Return | ||||
|
There is a cellular infiltrate within the dermis. The epithelium is diffusely hyperplastic, and is focally ulcerated (*).
|
||||