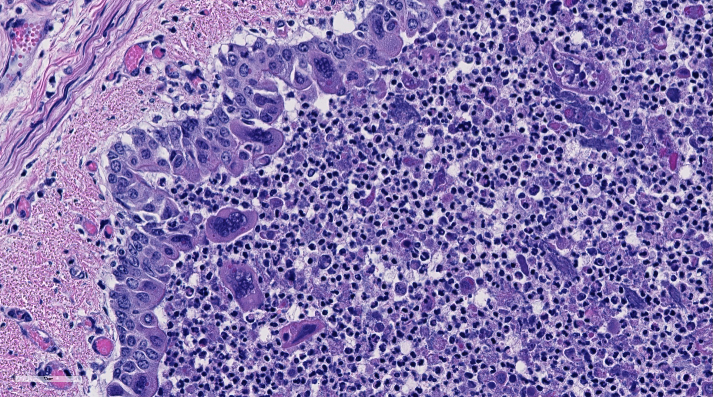
The exudate is composed of viable and degenerate neutrophils, eosinophilic cellular and karyorrhectic debris, alveolar macrophages, sloughed epithelial cells, fibrin, hemorrhage, and edema. The bronchus epithelium is characterized by one or more of the following changes: epithelial necrosis, hyperplasia, and viral syncytial cell formation(green arrows) with cells budding off the epithelium into the lumen (blue arrows). Multifocally, there are 3-6 um, round to oval, brightly eosinophilic intracytoplasmic inclusion bodies (orange arrows) in respiratory epithelium and syncytial cells.
|