40x   |   Hematoxylin and Eosin
Close Window
Macro View
Back
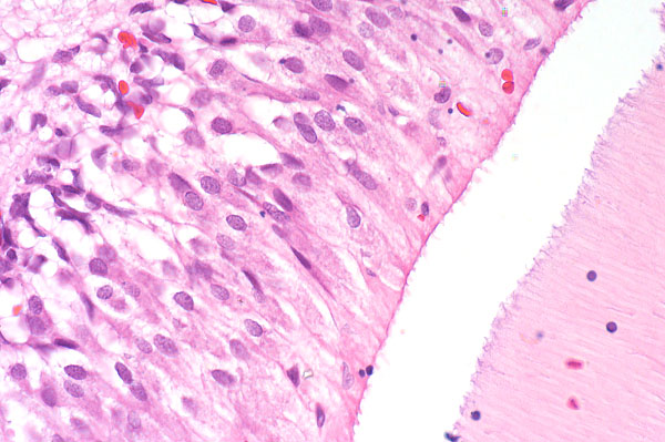
Odontoblasts are multifocally 3-4 layers thick.
Return
Odontoblasts are multifocally 3-4 layers thick.