10x   |   Hematoxylin and Eosin
Close Window
Macro View
Back
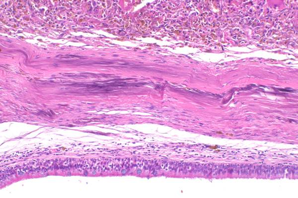
Mineralization of the submucosal connective tissue, and subepithelial edema.
Return
Mineralization of the submucosal connective tissue, and subepithelial edema.