| 20x   |   Hematoxylin and Eosin | ||||
| Close Window | Macro View | Back | ||
|
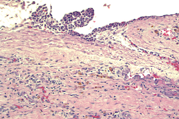
There are scattered aggregates of lymphocytes, plasma cells, hemosiderin-laden macrophages, and neutrophils.
|
||||
|
|
||||
| Return | ||||
|
There are scattered aggregates of lymphocytes, plasma cells, hemosiderin-laden macrophages, and neutrophils.
|
||||