| 40x   |   Hematoxylin and Eosin | ||||
| Close Window | Macro View | Show Help | Back | |
|
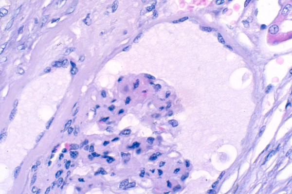
Multifocally, the parietal epithelium of the glomerular capsule is prominent (hypertrophic) (arrows).
|
||||
|
||||
| Return | ||||
|
Multifocally, the parietal epithelium of the glomerular capsule is prominent (hypertrophic) (arrows).
|
||||