| 4x   |   Hematoxylin and Eosin | ||||
| Close Window | Macro View | Back | ||
|
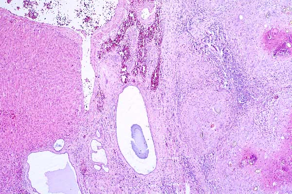
There is multifocal hemorrhage at the interface between the normal parenchyma and the granulomas.
|
||||
|
|
||||
| Return | ||||
|
There is multifocal hemorrhage at the interface between the normal parenchyma and the granulomas.
|
||||