| 40x   |   Hematoxylin and Eosin | ||||
| Close Window | Macro View | Show Help | Back | |
|
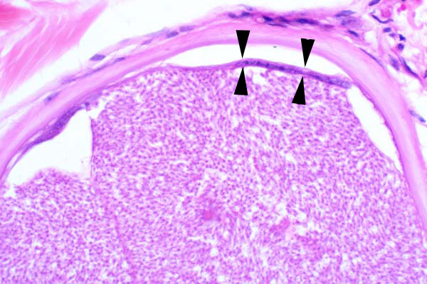
The hyaline capsule is 20-30um thick, surrounds a rim of cytoplasm from the host cell (arrowheads). In the center are numerous 3-5um, crescentic bradyzoites.
|
||||
|
||||
| Return | ||||
|
The hyaline capsule is 20-30um thick, surrounds a rim of cytoplasm from the host cell (arrowheads). In the center are numerous 3-5um, crescentic bradyzoites.
|
||||