| 10x   |   Hematoxylin and Eosin | ||||
| Close Window | Macro View | Show Help | Back | |
|
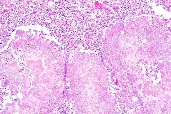
Large aggregates of fungal hyphae and conidia (arrowheads) are surrounded by macrophages, degenerate neutrophils and multinucleated giant cells.
|
||||
|
||||
| Return | ||||
|
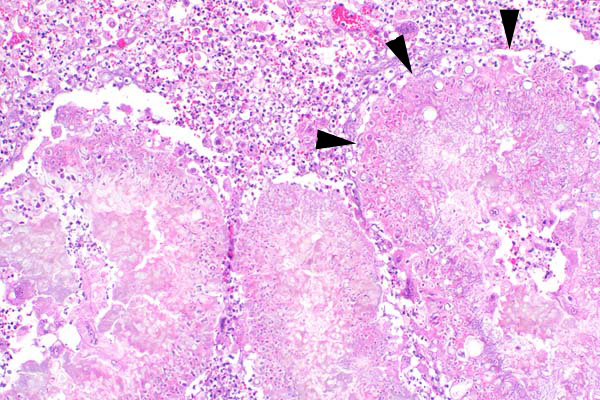
Large aggregates of fungal hyphae and conidia (arrowheads) are surrounded by macrophages, degenerate neutrophils and multinucleated giant cells.
|
||||