| 100X   |   Hematoxylin and Eosin | ||||
| Close Window | Macro View | Show Help | Back | |
|
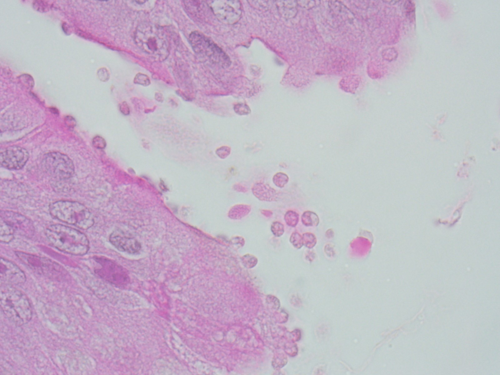
Lining the apical and luminal epithelium and free within the lumen are multiple 2-6 um diameter, round, pale amphophilic to basophilic protozoa with variably distinct 1-2 um basophilic nuclei.
|
||||
|
||||
| Return | ||||
|
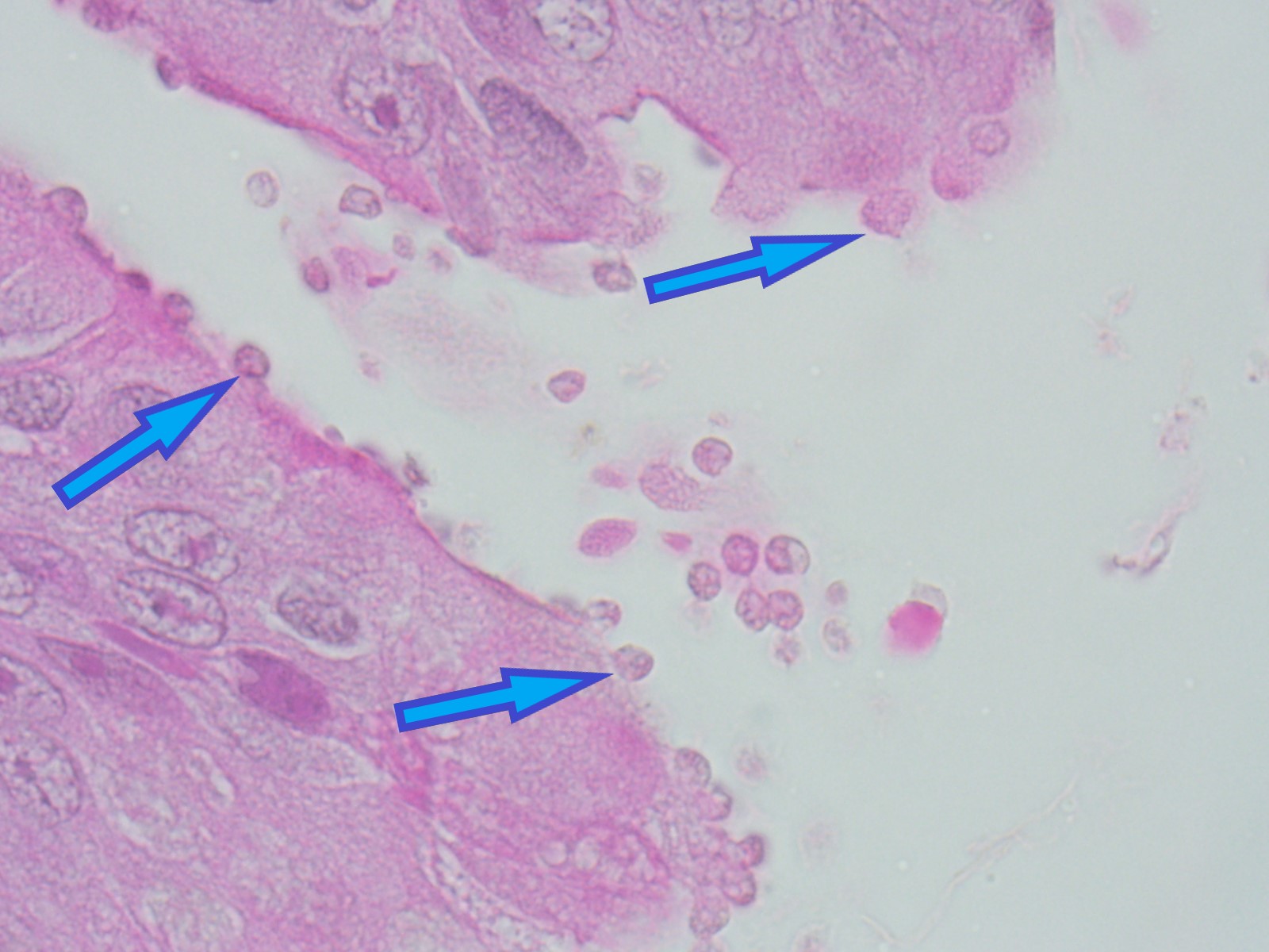
Lining the apical and luminal epithelium and free within the lumen are multiple 2-6 um diameter, round, pale amphophilic to basophilic protozoa (arrows) with variably distinct 1-2 um basophilic nuclei.
|
||||