Conference 16, Case 3:
Signalment:
9-month-old, female, spayed Bernese Mountain dog (Canis lupus familiaris)
History:
The dog presented for a 1-month history of severe ileus that was unresponsive to medical management. Abdominal radiographs showed a diffusely fluid and gas distended small intestine, with an intestinal diameter reaching 3.3 cm. Laparotomy to obtain biopsies of the gastrointestinal tract was performed. Due to poor prognosis and progressive clinical deterioration the patient was euthanized. A post-mortem examination was declined by the owners.
Gross Pathology:
During surgery, the gastrointestinal tract was reported to be diffusely distended and friable without any appreciable peristaltic movement.
Laboratory Results:
N/A
Microscopic Description:
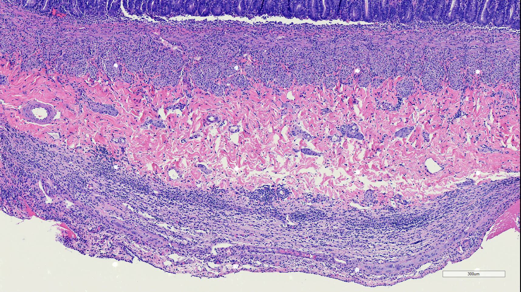
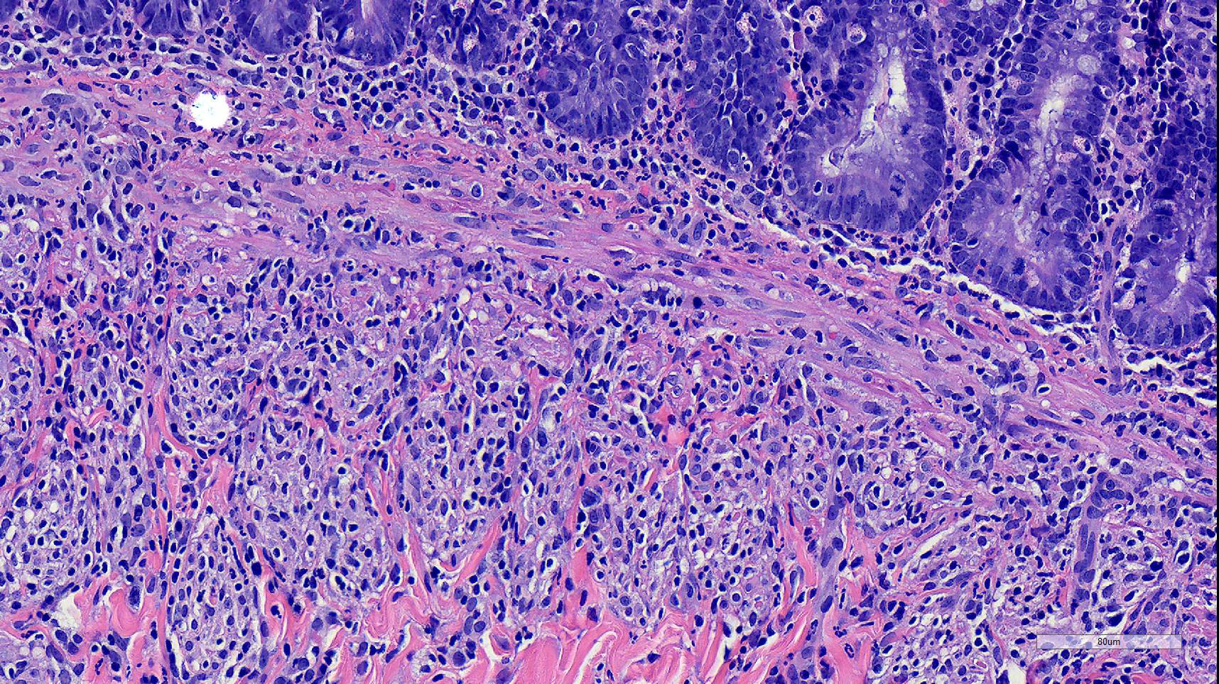
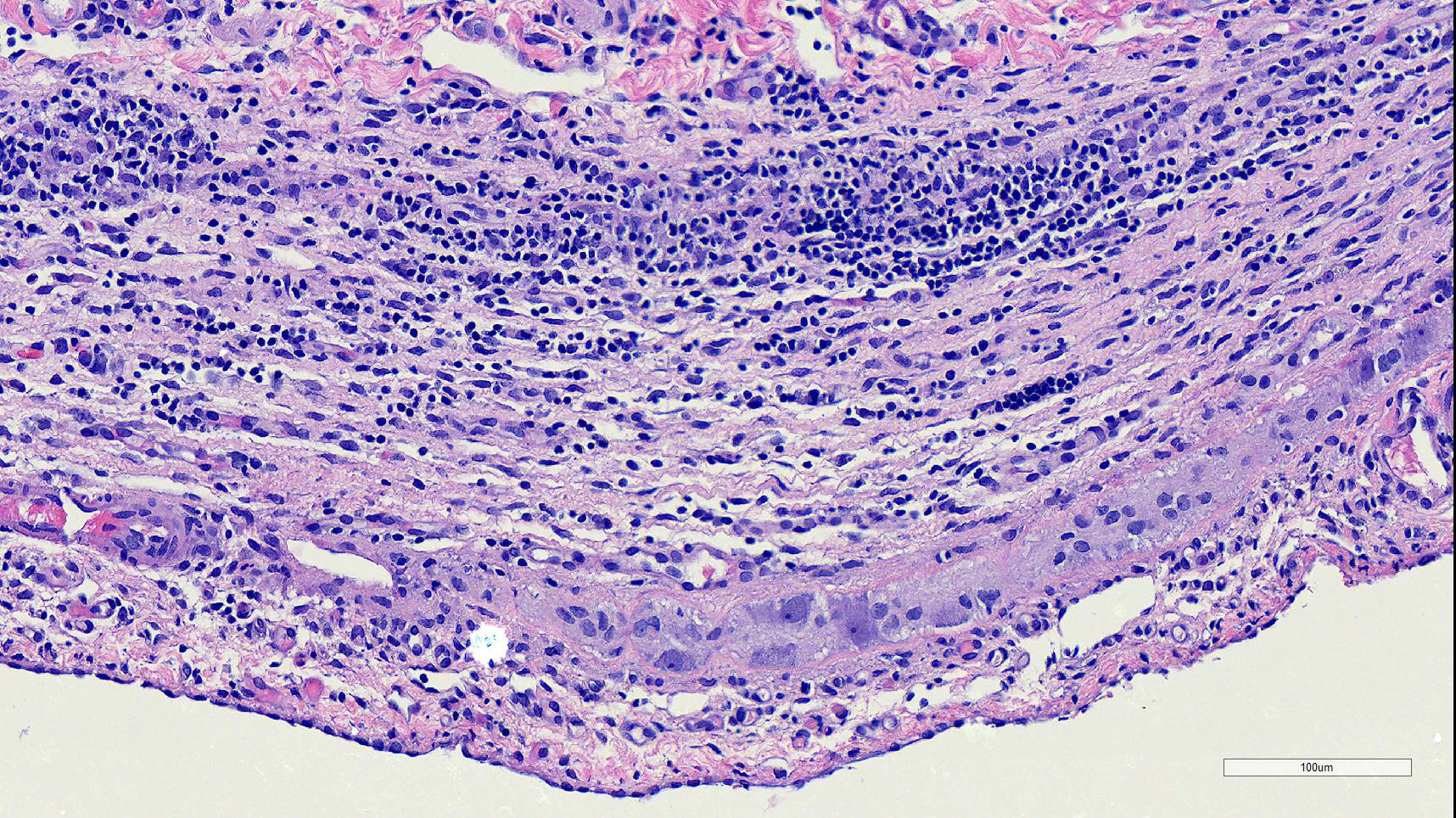
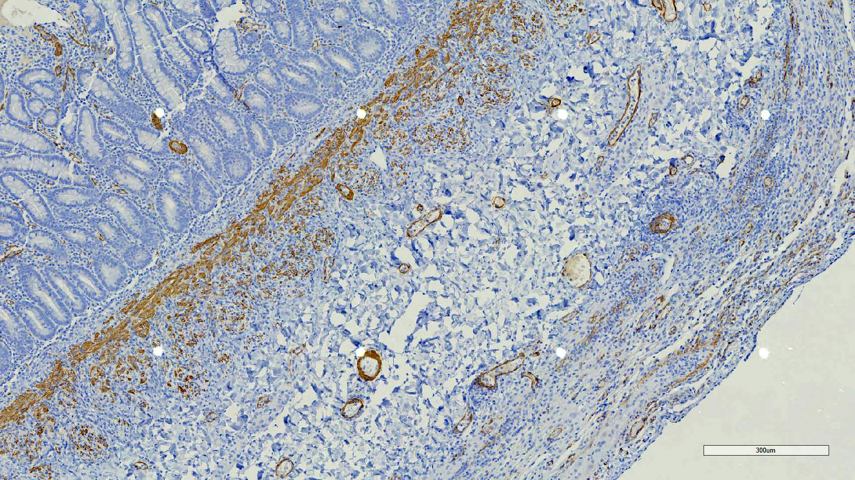
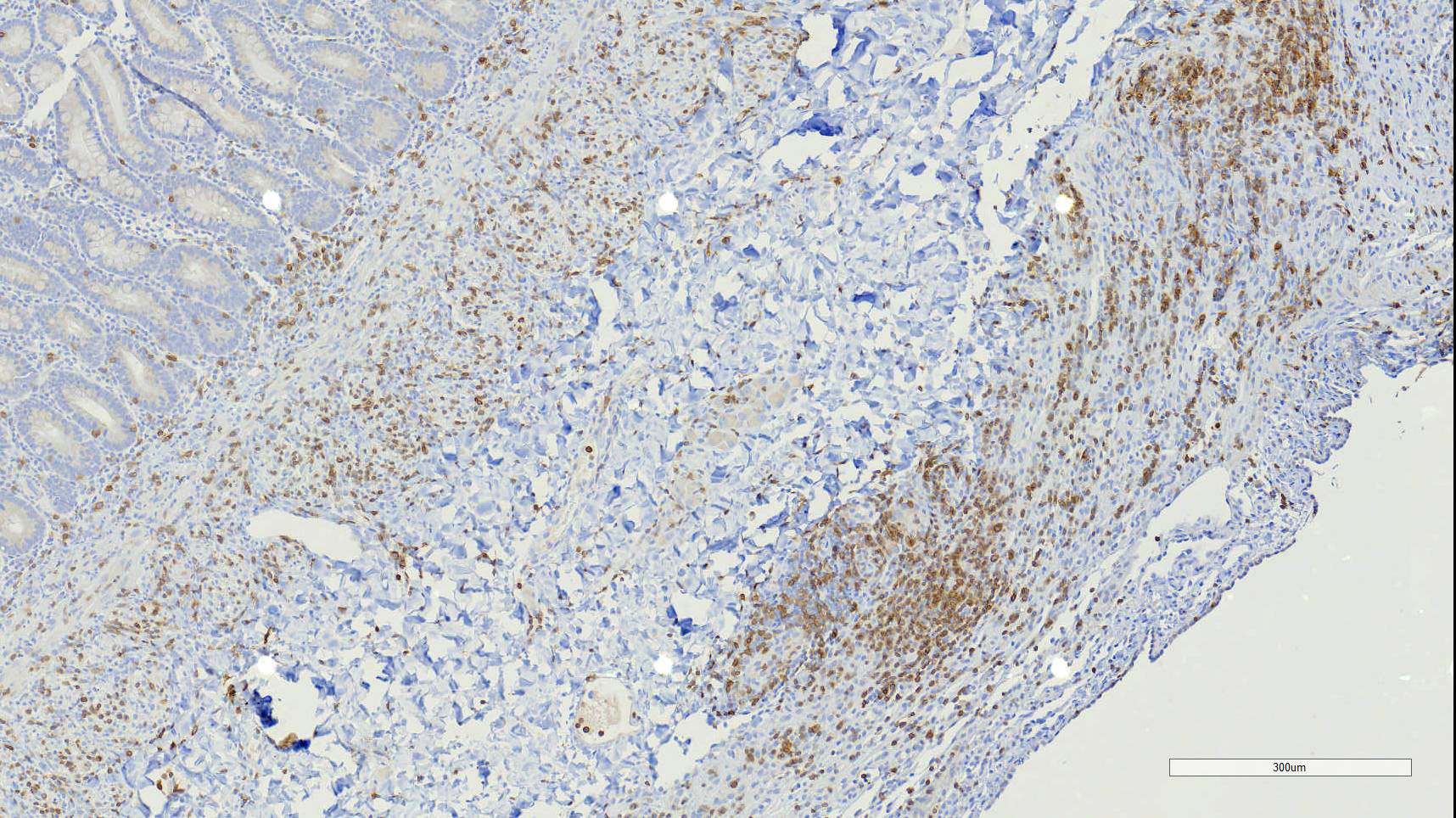
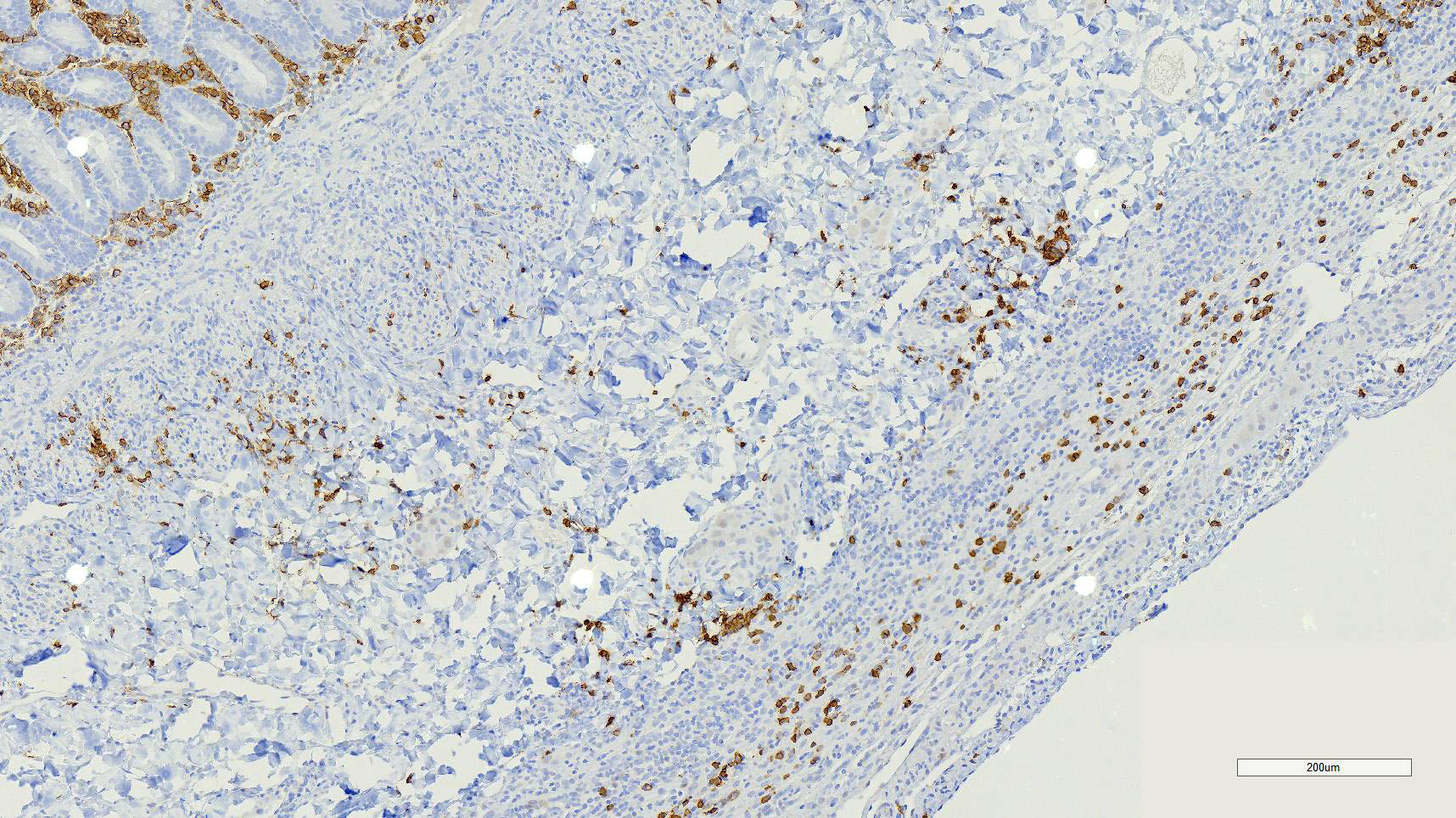
Duodenum, jejunum and ileum: Diffusely throughout the sections, there is partial to complete loss of the leiomyocytes of the outer and inner muscularis, which are multifocally replaced by loose fibrous connective tissue (fibrosis). The remaining smooth muscle is infiltrated by large numbers small and intermediate lymphocytes, few macrophages and neutrophils. The same inflammatory infiltrate is present throughout the muscularis mucosae. Remaining leiomyocytes have pale, frequently vacuolated cytoplasm. In the submucosa, muscularis and serosa there are small to moderate numbers of perivascular lymphocytes. Small lymphocytes, and infrequently neutrophils, surround or infiltrate the myenteric and submucosal ganglia, though neurons do not exhibit degenerative changes. The lamina propria contains a markedly increased number of lymphocytes, plasma cells and a mildly increased number of eosinophils. The epithelium is diffusely overlain by myriad bacterial rods. The serosa is mildly expanded by increased clear space (edema) and is lined multifocally by markedly hypertophied mesothelium. In the stomach a similar process is observed but restricted to the outer aspect of the muscularis with a patchy/multifocal distribution and sparing of the muscularis mucosae. (section not submitted).
Contributor’s Morphologic Diagnoses:
Duodenum, jejunum and ileum: Severe, diffuse, chronic lymphocytic leiomyositis with severe muscularis atrophy; marked, diffuse, chronic lymphoplasmacytic enteritis.
Contributor’s Comment:
Chronic intestinal pseudo-obstruction (CIPO) is a well-documented, rare gastrointestinal syndrome and represents a disorder leading to impaired intestinal motility that results in signs compatible with intestinal obstruction without occlusion of the intestinal lumen.4,6,8,15
Etiology of CIPO can be broadly considered primary (idiopathic), secondary or familialwhere primary CIPO has no demonstrable etiopathologic cause, and secondary CIPO may be due to systemic pathology and thus, is morecommonly seen in older human patients.4 Regardless of the cause, CIPO is classified histologically in humans as myopathic, mesenchymopathic, and neuropathic groups, based on the involvement of the nerve pathways supplying the gastrointestinal tract, the interstitial cells of Cajal, and smooth muscle cells, respectively.1,4,15
The classic clinical presentation of affected dogs is marked gastric and small intestinal dilation with severe hypomotility and clinical signs of abdominal discomfort, vomiting, regurgitation, small bowel diarrhea, anorexia, and weight loss. Clinicopathologic changes are variable and nonspecific. Radiographic and ultrasonographic imaging of the abdomen shows variable involvement of the stomach, small intestine and colon in all dogs with diffuse dilatation of the small intestine, variable dilation of the stomach and large intestine.15
CIPO in dogs is a rare disorder that is increasingly being diagnosed, and is attributed to intestinal leiomyositis.10,15 Prior reports of leiomyositis have been described in large breed dogs and similar to this case, Bernese Mountain dogs are featured in several of these reports.3,6,15 Other breeds reported in the literature include Portuguese Water dogs, Yorkshire Terrier, Border Collie, American Staffordshire Terrier, English Springer Spaniel, German Shepherd Dog, and mixed breed dogs.6,8,15 The ages of affected dogs range from 6 months to 10 years old, which emphasizes that this disorder should be a differential in both young and older dogs.15 In human pediatric patients, a similar idiopathic/autoimmune myositis restricted to the muscularis propria has been described as an isolated condition or arise as part of more generalized connective tissue disease.9,13 This pattern differs from other congenital conditions in humans where smooth muscle from the urinary tract, particularly the urinary bladder, is also affected.14
Microscopic findings reported for this condition consist of mild to marked mononuclear infiltrate, myofiber degeneration and fibroplasia or fibrosis centered within the muscularis propria of the stomach, small and large intestinal wall with the jejunum being the most severely and chronically affected segment.7,15 In early lesions the inflammation and smooth muscle degeneration are segmental, random between the outer and inner muscularis layers and sparing of the muscularis mucosae.15 Concurrent cecal involvement leading to impaction has also been described.5 Consistent histologic findings included T-lymphocyte inflammation within the muscularis propria with relative sparing of the mucosa, submucosa and neural plexuses.14 In one case report the inflammatory infiltrate was predominantly of B-lymphocytes and featured extensive angiogenesis.6 Leiomyocytes appear to be the target of the inflammation given the presence of various stages of degeneration leading to complete myofiber loss in chronic stages of the disease. Superficial inflammation is a frequent secondary finding in CIPO and has been associated with bacterial overgrowth, which were changes observed in this case.6 Neuropathy has not been a feature in most reports of canine CIPO. Inflammatory cells obscuring the myenteric and submucosal plexuses in this case were considered an extension from the neighboring inflammation as no degenerative changes were observed in the neurons. Myenteric ganglionitis has, however, been reported occurring concurrently with leiomyositis.10
The pathogenesis for this condition remains unclear, though the targeting of smooth muscle by T-lymphocytes is supportive of a cell-mediated inflammatory process suggestive of an immune-mediated process against intestinal smooth muscle.11,14,15 In humans with intestinal leiomyositis, the inflammation is specific for the intestinal musculature as leiomyocytes of vessels or other tissues are unaffected.15 Humans with intestinal leiomyositis can have autoimmune disease as a preexisting condition, including systemic lupus erythematosus, rheumatoid arthritis, scleroderma, and autoimmune hepatitis.7 Neither the dog in this case nor those in the largest case series in dogs with leiomyositis had concurrent evidence of systemic autoimmune disease.14 In few human cases, acute episodes of infectious gastroenteritis or diarrhea preceded the development of gastrointestinal distention.7 Molecular mimicry has been proposed as a mechanism for the development of leiomyositis, although an explanation of restriction of the inflammation to the gastrointestinal tract was not elucidated.7
An important diagnostic consideration for cases of leiomyositis is mechanical obstruction secondary to foreign body. The combination of complementary imaging methods such as abdominal radiographs with ultrasonography is the most effective method to rule out the presence of a mechanical obstruction, though exploratory laparotomy is required for sampling when leiomyositis is suspected.15
The prognosis of dogs with intestinal leiomyositis is generally poor with survival times ranging from 10 days to 5 weeks after diagnosis.14 Management of CIPO in humans is challenging and aimed at controlling symptoms and minimizing complications and typically involves immunomodulatory therapy.12,15 Early diagnosis and treatment, results in a better long-term prognosis in humans. One case report in a dog described a favorable response to therapy after early diagnosis and treatment, suggesting better prognosis if the condition is identified before the onset of muscle atrophy.11
Contributing Institution:
Cummings School of Veterinary Medicine at Tufts University
Department of Biomedical Sciences, Section of Pathology
200 Westboro Rd.
North Grafton, MA. 01536
http://vet.tufts.edu/department-of-biomedical-sciences/research/pathology/
JPC Diagnoses:
Small intestine: Leiomyositis, lymphocytic, chronic, diffuse, severe, with marked smooth muscle loss and fibrosis.
JPC Comment:
Yet again, a fantastically written comment by the contributor that hits on the majority of conference discussion points! Chronic intestinal pseudo-obstruction (CIPO) has also been known by many names throughout its history, including fibrosing gastrointestinal leiomyositis, intestinal leiomyositis, idiopathic intestinal pseudo-obstruction, chronic intestinal dysmotility, and enteric myopathy. Many of these names are no longer in use, but intestinal leiomyositis and CIPO are most commonly utilized in the current literature. A good way to think about CIPO is that it is the clinical disease that can result from intestinal leiomyositis. This entity was last seen in the WSC in 2017 during Conference 4, Case 2. Histologically, the focus of lymphocytic inflammation on the smooth muscle cells of the intestine with replacement fibrosis and an absence of infectious organisms should make one think about this clinical syndrome, especially if the history fits.
The contributor thoroughly describes the syndrome in dogs, and differential diagnoses were mentioned in conference. These should include lymphocytic polymyositis, as some cases of this condition can have similar lesions in the esophagus and other areas of smooth muscle, and Chagas disease, caused by Trypanosoma cruzi (last seen in the WSC in 2024 during Conference 3, Case 3). T. cruzi can cause similar symptoms by causing chronic inflammation that leads to the destruction of the enteric nervous system (ENS), particularly the myenteric plexus.13 This destruction results in severe neuromuscular dysfunction, leading to conditions like megaesophagus and megacolon.13
One participant brought up the possibility of a dysautonomia in this case, which is a great thought since CIPO may result from segmental or diffuse neuromuscular dysfunction in the gut. There are multiple forms of dysautonomia, such as specific autoimmune forms like autoimmune autonomic ganglionopathy (AAG) that involves autoantibodies attacking nerve cells.2 Other forms arise secondary to other autoimmune disorders (i.e., Sjögren's, systemic lupus erythematosus).2 However, in this case, the ganglia in the intestine looked great! This steered attendees away from considering a neuromuscular autoimmune condition. That being said, the pathogenesis of this condition has yet to be elucidated, and there is evidence that an autoimmune attack against smooth muscle cells could be at play.12
References:
- Antonucci A, Fronzoni L, Cogliandro L, et al. Chronic intestinal pseudo-obstruction. World J Gastroenterol. 2008;14:2953–2961.
- Blitshteyn S. Dysautonomia: a common comorbidity of systemic disease. Immunol Res. 2025;73(1):105.
- Couraud L, Jermyn K, Yam PS, Ramsey IK, Philbey AW. Intestinal pseudo-obstruction, lymphocytic leiomyositis and atrophy of the muscularis externa in a dog. Veterinary Record. 2006;159:86–87.
- Downes TJ, Cheruvu MS, Karunaratne TB, De Giorgio R, Farmer AD. Pathophysiology, Diagnosis, and Management of Chronic Intestinal Pseudo-Obstruction. Journal of Clinical Gastroenterology. 2018;52:477–489.
- Eastwood JM, McInnes EF, White RN, Elwood CM, Stock G. Caecal Impaction and Chronic Intestinal Pseudo-Obstruction in a Dog. Journal of Veterinary Medicine Series A. 2005;52:43–44.
- Gianella P, Tecilla M, Bellino C, et al. An unusual case of intestinal leiomyositis in a Bernese mountain dog. Schweiz Arch Tierheilkd. 2015;157:563–567.
- Haas S, Bindl L, Fischer H-P. Autoimmune enteric leiomyositis: A rare cause of chronic intestinal pseudo-obstruction with specific morphological features. Human Pathology. 2005;36:576–580.
- Johnson CS, Fales-Williams AJ, Reimer SB, Lotsikas PJ, Haynes JS. Fibrosing Gastrointestinal Leiomyositis as a Cause of Chronic Intestinal Pseudo-Obstruction in an 8-Month-Old Dog. Veterinary Pathology. 2007;44:106–109.
- Kapur RP. Intestinal Motor Disorders. In: Pathology of Pediatric Gastrointestinal and liver disease. New York: Springer; 2014:249–316.
- Kopke MA, Ruaux CG, Gal A. Myenteric ganglionitis and intestinal leiomyositis in a Jack Russell terrier: Myenteric ganglionitis and intestinal leiomyositis in a dog. Journal of Small Animal Practice. 2018: 1-4.
- Murtagh K, Oldroyd L, Ressel L, Batchelor D. Successful management of intestinal pseudo-obstruction in a dog. Veterinary Record Case Reports. 2013: e000025
- Oton E, Moreira V, Redondo C, et al. Chronic intestinal pseudo-obstruction due to lymphocytic leiomyositis: is there a place for immunomodulatory therapy?. Gut. 2005;54(9):1343–1344.
- Pérez-Molina JA, Crespillo-Andújar C, Trigo E, et al. Chagas disease is related to structural changes of the gut microbiota in adults with chronic infection (TRIPOBIOME Study). PLoS Negl Trop Dis. 2023;17(7):e0011490.
- Ruuska T, Karikoski R, Smith VV, Milla PJ. Acquired myopathic intestinal pseudo-obstruction may be due to autoimmune enteric leiomyositis. Gastroenterology. 2002;122:1133–1139.
- Zacuto AC, Pesavento PA, Hill S, et al. Intestinal Leiomyositis: A Cause of Chronic Intestinal Pseudo-Obstruction in 6 Dogs. Journal of Veterinary Internal Medicine. 2016;30:132–140.






