Results
AFIP Wednesday Slide Conference - No. 28

29 April 1998

Conference Moderator:
Donald K. Nichols, Diplomate, ACVP
Department of Pathology
National Zoological Park
Washington, D.C. 20008

Return to WSC Case Menu.

Case I - 95-889-6 (AFIP 2610290)

Signalment: Adult, female, pancake tortoise (Malacochersus tornieri)

History: This adult tortoise was noted to be lethargic and anorectic. Radiographs taken 2 weeks after the onset of clinical signs revealed the presence of a large egg within the caudal abdomen. The tortoise was administered an intramuscular injection of calcium gluconate and returned to its exhibit. Clinical signs did not improve. It was found dead approximately 6 weeks after the onset of clinical signs.

Gross Pathology: The tortoise was in poor nutritional condition and moderately dehydrated. Skeletal musculature was atrophic and contained numerous pale tan to white streaks. Approximately 30 ml of clear yellow fluid was present in the coelomic cavity. A large fully-shelled egg was located in the left oviduct. There were no other significant gross findings.

Laboratory Results: Hematologic and plasma chemistry results from a blood sample collected 4 weeks prior to death were unremarkable.

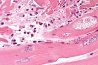
Contributor's Diagnosis and Comments: Skeletal muscle; myositis, acute to chronic, multifocal, moderate, with protozoa. Etiology: microsporidia

This tortoise had multifocal myofiber degeneration and necrosis accompanied by inflammation which affected skeletal muscles throughout the body. These lesions varied from acute to chronic and were associated with the presence of numerous oval 1-1.5 X 2.5-3 mm organisms located within sarcoplasm and extracellularly. These organisms could also occasionally be found within non-degenerate myofibers near the inflammatory foci. The organisms were gram positive, acid-fast, and contained single PAS-positive polar granules. The morphology and staining characteristics are typical of microsporidian protozoa.

Other significant lesions in this animal were limited to splenic lymphoid depletion and generalized atrophy of body fat. The myositis was severe enough to have interfered with this tortoise's ability to move resulting in the lethargy and anorexia noted clinically, and ultimately the animal's death.

Several species of microsporidia have been reported in invertebrate animals, fish and amphibians. Encephalitozoon cuniculi may infect a wide variety of mammals and other microsporidia have recently been discovered in immunocompromised humans. However, there are few reports of microsporidial infections in reptiles; species affected include tuataras (Sphenodon punctatus), the European common wall lizard (Podarcis muralis), inland bearded dragons (Pogona vitticeps), the European grass snake (Natrix natrix), the split keelback snake (Atretium schistosum), and a garter snake (Thamnophis sp.). There appears to have been one previous report of an infection in a chelonian, the European swamp turtle (Emys orbicularis), but it is unclear whether there was any clinical disease or lesions associated with this.

The clinical signs and necropsy findings in this tortoise are similar to those seen in a captive colony of European common toads (Bufo bufo) that were infected with Pleistophora myotrophica. This tortoise had been housed in an indoor exhibit at the National Zoo for more than 10 years and consumed a diet of mixed vegetables. The source of the infection is undetermined. To date, other pancake tortoises housed with this animal have not been similarly affected.
 
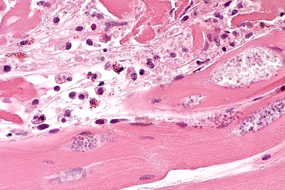
Case 28-1. Skeletal muscle. Packets of numerous pale to basophilic intrasarcoplasmal protozoa
(Microsporidia) separate viable muscle fibers. Scattered lymphocytes, heterophils, and histiocytes expand the interstitium.
40X
AFIP Diagnosis: Skeletal muscle: Myositis, necrotizing, subacute to chronic, multifocal, moderate, with intrasarcoplasmic protozoa, pancake tortoise (Malacochersus tornieri), reptile, etiology consistent with microsporidia.

Conference Note: Members of the phylum Microspora are all obligate intracellular parasites that form spores. Well-known examples include Encephalitozoon cuniculi, a frequent pathogen of rodents and rabbits; Nosema apis, a major killer of bees; and Nosema bombycis, the cause of silkworm disease, which caused devastation of the silk industry in Europe in the nineteenth century.7

The three major components of the microsporidian spore are the spore wall, sporoplasm, and an extrusion apparatus. The extrusion apparatus consists of a polar filament, which is coiled in an inverted position inside the spore and is formed by a special Golgi apparatus, the posterosome. Upon contact of the spore with the host cell, the distal end of the polar filament uncoils and penetrates the cell. The sporoplasm is then squeezed through the narrow, hollow tube of the filament.1,7,8 All active stages of the parasite develop in the cytoplasm of the host cell.

Contributor: National Zoological Park, Smithsonian Institution, Washington, D.C. 20008

References:
1. Hoff GL, Frye FL, Jacobson ER: Diseases of Amphibians and Reptiles, Plenum Press, New York, pp. 348-354, 1984.
2. Gardiner CH, Fayer R, Dubey JP: An Atlas of Protozoan Parasites in Animal Tissues, USDA Handbook #661, pp. 12-13, 1988.
3. Jacobson ER, Green DE, Undeen AH, Cranfield M, Vaughan KL: Systemic microsporidiosis in inland bearded dragons (Pogona vitticeps), J Zoo Wildl Med, in press.
4. Jones TC, Hunt RD, King NW: Veterinary Pathology ; sixth edition, Williams & Wilkins, Baltimore, pp. 575-578, 1997.
5. Marcus LC: Veterinary Biology and Medicine of Captive Amphibians and Reptiles, Lea & Febiger, Philadelphia, pp. 135-137, 1981.
6. Noga EJ: Fish Disease: Diagnosis and Treatment, Mosby, St. Louis, pp. 188-191, 1996.
7. Soulsby EJL: Helminths, Arthropods and Protozoa of Domesticated Animals. 7th edition, Lea & Febiger, Philadelphia, pp. 741-745, 1982.
8. Cheville NF: Ultrastructural Pathology. An Introduction to Interpretation. Iowa State University Press, Ames, IA, pp. 744-746, 1994.

International Veterinary Pathology Slide Bank:
Laser disc frame #24378

 

Case II - 37580 (AFIP 2593756)

Signalment: Approximately 8-year-old, male, San Lucan speckled rattlesnake (Crotalus mitchelli).

History: Found dead with no premonitory signs.

Gross Pathology: The trachea contained abundant thick pale tan/yellow mucoid exudate that was mixed with blood caudally. Similar exudate partially filled the lumen of the cranial lung. The caudal lung contained clots and strands of blood. Lung parenchyma was moist and red.

Laboratory Results: Escherichia coli was cultured from a swab of the lung. Paramyxovirus was isolated from lung tissue by Dr. Melissa Kennedy, University of Tennessee.

Contributor's Diagnoses and Comments:
1. Lungs: severe, diffuse, chronic, proliferative and exudative pneumonia.
2. Splenopancreas: severe, diffuse, chronic, necrotizing pancreatitis with fibrosis, acinar atrophy, reactive epithelial hypertrophy and hyperplasia and rare syncytial cell formation.

Etiology: paramyxovirus and secondary Escherichia coli.

The lesions present in the submitted sections of lung and splenopancreas are typical of those seen in several snakes of various species (Viperidae and Boidae) necropsied during a recent outbreak of paramyxoviral disease. Secondary bacterial infections, while common, could not be demonstrated in many snakes. Bacteria were not detected in pancreatic tissue histologically, but could frequently be identified in the lung. Interestingly, in some snakes, the pancreatic lesions were the primary finding, with minimal to no pulmonary changes. This is in contrast to reports in the literature that indicate a lower prevalence of pancreatic versus pulmonary involvement. Also commonly seen in our cases was adenitis of venom, lacrimal and Harderian glands (tissues not submitted) with epithelial cell necrosis, hypertrophy and hyperplasia. Similar epithelial cell changes were seen to varying degrees in liver and, in one case, kidney (distal collecting ducts and renal pelves). Cytoplasmic inclusions and syncytial cell formation, typical of paramyxovirus infection in many species, were occasionally, but not consistently, detected.
 
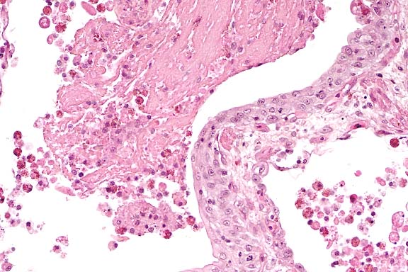
Case 28-2. Lung. An eosinophilic proteinaceous coagulum mixed with heterophils nearly occludes the upper airway and heterophils expand the interstitium and lower ariway. 20X
AFIP Diagnoses:
1. Lung: Pneumonia, interstitial, proliferative, subacute, diffuse, severe, San Lucan speckled rattlesnake (Crotalus mitchelli), reptile.
2. Trachea: Tracheitis, proliferative, acute, diffuse, moderate, with intraluminal heterophilic and histiocytic exudate and many bacilli.
3. Splenopancreas: Pancreatitis, chronic, diffuse, moderate, with marked parenchymal loss, fibrosis, and ductal epithelial hyperplasia.

Conference Note: Gram stains performed at the AFIP demonstrated many gram-negative bacilli within the exudate in the tracheal lumen.

Conference participants observed multinucleated giant cells within the pancreas, but were unable to definitively characterize them based on histomorphology alone. Although these may represent virus-induced syncytial cells, the possibility that they are histiocytic giant cells cannot be excluded.

There are presently four genera within the family Paramyxoviridae, i.e. Rubulavirus, Paramyxovirus, Morbillivirus, and Pneumovirus. Genetic characteristics of the ophidian paramyxoviruses are significantly different than any of the currently described genera, and warrant an additional genus to be named within the Paramyxoviridae (D. Nichols, personal communication). The relative degree of susceptibility of snakes to paramyxoviral disease is Viperidae>Elapidae>Colubridae>Boidae (D. Nichols, personal communication).

Contributor: Zoological Society of San Diego, P.O. Box 551, San Diego, CA 92112-0551

References:
1. Jacobsen ER, Gaskin JM, Wells S, Bowler K, Schumacher J: Epizootic of ophidian paramyxovirus in a zoological collection: pathological, microbiological and serological findings. J Zoo Wildl Med 23(3):318-327, 1992.
2. Jacobsen ER, Gaskin JM, Page D, Iverson WO, Johnson JW: Illness associated with paramyxo-like virus infection in a zoologic collection of snakes. J Am Vet Med Assoc 179(11):1227-1230, 1981.
3. Potgieter LND, Sigler RE, Russell RG: Pneumonia in Ottoman vipers (Vipera xanthena xanthena) associated with parainfluenza 2-like virus. J Wild Dis 23(3):355-360, 1987.
4. Jacobson ER, Adams HP, Geisbert TW, Tucker SJ, Hall BJ, Homer BL: Pulmonary lesions in experimental ophidian paramyxovirus pneumonia of Aruba Island rattlesnakes, Crotalus unicolor. Vet Pathol 34:450-459, 1997.

International Veterinary Pathology Slide Bank:
Laser disc frame #11300, 11303, 11325, 11390

 

Case III - 35205 (AFIP 2508105)

Signalment: 17-day-old, female, emerald starling (Lamprotornis iris).

History: This was a recently fledged bird, found dead on the ground.

Gross Pathology: There was marked pulmonary edema and hepatosplenomegaly.

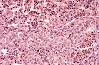
Contributor's Diagnosis and Comments: Pneumonia, lymphohistiocytic, diffuse, severe (sludging of leukocytes in blood vessels), with intraleukocytic protozoal zoites.

Etiology: Atoxoplasma sp.

Although we have called this a pneumonia (to facilitate coding and retrieval), the lesion most likely represents sludging of leukocytes in pulmonary capillaries, rather than a true pneumonia. Larger blood vessels are also packed with leukocytes containing protozoal zoites.

The differential diagnosis in this case would include Sarcocystis sp., Toxoplasma gondii, Haemoproteus sp., Histoplasma sp., and Candida sp. infection. Sarcocystis sp. and Haemoproteus sp. can be ruled out because of the lack of sinuous schizonts in capillaries. Toxoplasma gondii can be ruled out because of the size of the zoites and number of zoites per cell. Special stains have ruled out Histoplasma sp. and Candida sp.

This bird also had marked intestinal coccidiosis, which may represent the sexual stage of the infection.

Fledglings such as this are exposed to high numbers of infective oocysts in the soil of their enclosures after they leave the nest. The source of the oocysts may be adult asymptomatic carriers, or free-ranging passerines. In this case, at least one of the parents of this fledgling was found to be infected.
 
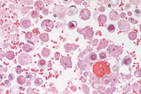
Case 28-3. Lung. A vessel is plugged with a sheet of mononuclear leukocytes. In the center, a cell with clear cytoplasm has a few minute, eosinophilic bodies (Atoxoplasma). 40X
 
AFIP Diagnosis: Lung: Mononuclear leukocytosis, intravascular, diffuse, severe, with many intracellular protozoa, emerald starling (Lamprotornis iris), avian.

Conference Note: Atoxoplasma spp. are single-host, species-specific coccidia affecting passerine birds. Transmission is direct via oocysts deposited in feces. Infection begins with ingestion of sporulated oocysts, with each oocyst containing two sporocysts that further contain four sporozoites. Sporozoites are released in the intestinal lumen, then invade epithelial cells, lymphocytes, and macrophages and are then disseminated throughout the tissues of the body. Merogony occurs in mononuclear cells in the blood and in intestinal epithelium. Gametogeny occurs in the intestinal epithelial cells of the same individual. Oocysts sporulate outside the host.

Gross lesions of atoxoplasmosis may include hepatomegaly with multiple pinpoint white foci covering the surface and throughout the parenchyma; similar white foci in the pericardium and myocardium; splenomegaly; and effusion in pericardial and air sacs.1 Although the organism is often difficult to see in H&E-stained histologic sections, it is much easier to detect by cytological examination of Wright's-stained impression smears of liver.

Contributor: Zoological Society of San Diego, P.O. Box 551, San Diego, CA 92112

References:
1. Partington CJ, Gardiner CH, Fritz D, Phillips LG, Montali RJ: Atoxoplasmosis in Bali mynahs. J Zoo Wildl Med 20(3):328-335, 1989.
2. McNamee P, Pennycott T, McConnel S: Clinical and pathological changes associated with atoxoplasma in a captive bullfinch (Pyrrhula pyrrhula). Vet Record 136:221-222, 1995.
3. Ritchie BR, Harrison GJ, Harrison LR: Avian Medicine: Principles and Application. Wingers Publishing, Inc., Lake Worth, Florida, pp. 1190-1191, 1994.

International Veterinary Pathology Slide Bank:
Laser disc frame #13671, 13672

 

Case IV - 10760-94 (AFIP 2458318); 2 photos

Signalment: 4-year-old Montdale ram.

History: Posterior paralysis beginning 8 days prior to death. Progression of clinical signs resulted in recumbency and blindness, with diminished level of consciousness. Temperature 1 day prior to death was 107.8° F. The animal was euthanized due to lack of response to treatment.

Gross Pathology: The nasal mucosa was thickened, red to brown and covered by fibrin. A single cerebrocortical infarct was observed on the external surface of the brain, with multiple additional 1-3 cm red to rust colored soft lesions found after incision. Larger pale fleshy lesions were observed in kidney and testes.

Laboratory Results: Cerebrospinal fluid was obtained from the foramen magnum. It was cloudy, but became clear following centrifugation.

Protein: 589 mg/dl, Pandy 4+
RBC 29,947/ml
WBC 130/ml (25% PMN, 18% lymphs, 56% monocyte/macrophages; no organisms seen).

Contributor's Diagnosis and Comments: Brain: Multifocal granulomatous meningitis, with severe central necrosis and amebic cysts and trophozoites.

Amebic encephalitis is an uncommon condition of human beings and domestic animals, which results from infection by Acanthamoeba and related genera. Amebic encephalitis has been reported recently in an immunosuppressed dog and a sheep. Lesions following infection with Acanthamoeba are predominantly within the central nervous system parenchyma, and are multifocal, differing from the fulminant meningitis produced by Naegleria fowleri, a pathogen of human and nonhuman primates.

The lesions in this animal had a multifocal distribution suggestive of hematogenous dissemination, and brain lesions were mistaken for infarcts at postmortem examination. The presence of amebic lesions in kidney and testicle further suggests vascular spread. This particular patient had amebic infection of the nasal mucosa, which may have served as a source of infection for other sites. A nasal, pulmonary or skin lesion is commonly believed to be the primary source of infection in humans. Although the ram had been recently shorn, skin lesions were not observed.

Differentiation between Acanthamoeba species and related organisms is difficult in histologic specimens. Although PAS and Calcoflour white are useful in locating cysts, staining of trophs by Giemsa and mucicarmine can help differentiate them from macrophages. Immunoflourescent staining is helpful in speciation, but has not yet been done on this case. Acanthamoeba can also occasionally be observed in CSF by their motility, although it has been remarked that they are relatively less vigorous in their movements than Naegleria.

Characteristic of Acanthamoeba lesions is a central region of necrosis. A variety of toxins, including lysosomal enzymes, high peroxidase and adherence to cell culture monolayers have been cited as markers of pathogenicity. The importance of immunosuppression as a predisposing factor has been noted in amebic infection, but was not documented in this patient.
 
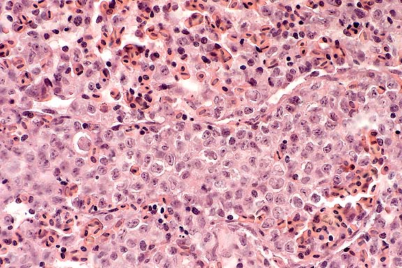
Case 28-4. Brain. Malacic area with mild hemorrhage containing amebic trophozoites and cysts. 40X
AFIP Diagnosis: Brain, multiple sections: Meningoencephalitis, necrotizing, subacute, multifocal, coalescing, severe, with vasculitis and numerous amebic trophozoites and cysts, Montdale, ovine.

Conference Note: Infection with Balamuthia mandrillaris should be included in the differential diagnosis. This recently described free-living amoeba causes fatal meningoencephalitis in humans and old world primates.12 It has also been reported in a sheep as a cause of meningoencephalitis4, and is now considered an important emerging disease.12

Acanthamoeba and Balamuthia are morphologically similar in tissue sections at the light microscopic level; however, the presence of multiple nucleoli within trophozoite nucleosomes is a distinguishing characteristic of B. mandrillaris.12 Definitive diagnosis requires immunofluorescence studies, electron microscopy, or in vitro culture procedures. Naegleria fowleri does not form cysts in tissue sections; therefore, infection with that organism can be ruled out.

Contributor: Department of Veterinary Pathology, University of Missouri, Veterinary Medical Diagnostic Lab, P.O. Box 6023, Columbia, MO 65205

References:
1. Alizadeh H, Pidherney MS, McCulley JP, Niederkorn JY: Apoptosis as a mechanism of cytolysis of tumor cells by a pathogenic free-living amoeba. Infect Immun 62:1298-1303, 1994.
2. Badenoch PR: The pathogenesis of Acanthamoeba keratitis. Aust New Zealand J Ophthal 19:9-20, 1991.
3. Ferrante A: Immunity of Acanthamoeba. Rev Infect Dis 13:403-409, 1991.
4. Fuentealba IC, Wikse SE, Read WK, Edwards JF, Visvesvara GS: Amebic meningoencephalitis in a sheep. JAVMA 200:363-365, 1992.
5. Marines HM, Osato MS, Font RL: The value of calcofluor white in the diagnosis of mycotic and Acanthamoeba infections of the eye and ocular adnexa. Ophthalmol 94:23-26, 1987.
6. Hadas E, Mazur T: Biochemical markers of pathogenicity and virulence of Acanthamoeba sp. strains. Parasitol Res 79:696-698, 1993.
7. Martinez AJ: Infection of the central nervous system due to Acanthamoeba. Rev Inf Dis 13:399-402, 1991.
8. Martinez AJ, Janitschke K: Acanthamoeba, an opportunistic pathogen: a review. Infect 13:251-256, 1985.
9. Morton LD, McLaughlin GL, Whiteley HE: Adherence characteristics of three strains of Acanthamoeba. Rev Infect Dis 13:424, 1991.
10. Pearce JR, Powell HS, Chandler FW, Visvesvara GS: Amebic meningoencephalitis caused by Acanthamoeba castellani in a dog. JAVMA 187:951-952, 1985.
11. Stewart GL, Kim I, Shupe K, et al: Chemotactic response of macrophages to Acanthamoeba castellani antigen and antibody-dependent macrophage mediated killing of the parasite. J Parasit 78:849-855, 1992.
12. Rideout BA, Gardiner CH, Stalis IH, Zuba JR, Hadfield T, Visvesvara GS: Fatal infections with Balamuthia mandrillaris (a free-living amoeba) in gorillas and other old world primates. Vet Pathol 34:15-22, 1997.

International Veterinary Pathology Slide Bank:
Laser disc frame #22131, 22132.

Terrell W. Blanchard
Major, VC, USA
Registry of Veterinary Pathology*
Department of Veterinary Pathology
Armed Forces Institute of Pathology
(202)782-2615; DSN: 662-2615
Internet: blanchard@afip.osd.mil

* The American Veterinary Medical Association and the American College of Veterinary Pathologists are co-sponsors of the Registry of Veterinary Pathology. The C.L. Davis Foundation also provides substantial support for the Registry.

Return to WSC Case Menu.