Results
AFIP Wednesday Slide Conference - No. 21


11 March 1998

Conference Moderators:
LTC Robert Moeller, Diplomate, ACVP
LTC LuAnn McKinney, Diplomate, ACVP
MAJ Dana Scott, Diplomate, ACVP
Department of Veterinary Pathology
Armed Forces Institute of Pathology
Washington, D.C. 20306

Return to WSC Case Menu.

Case I - 97RH-6; No. 139 (AFIP 2614186)

Signalment: Male transgenic knockout (FVB/N-Trp53tm1Dol) mouse.

History: Euthanized because of a scrotal mass.

Gross Pathology: The scrotum was distended by a 2.0 x 1.0 cm firm pale encapsulated mass that had replaced one testicle.

Contributor's Diagnosis and Comments: Testis: Teratoma, malignant.

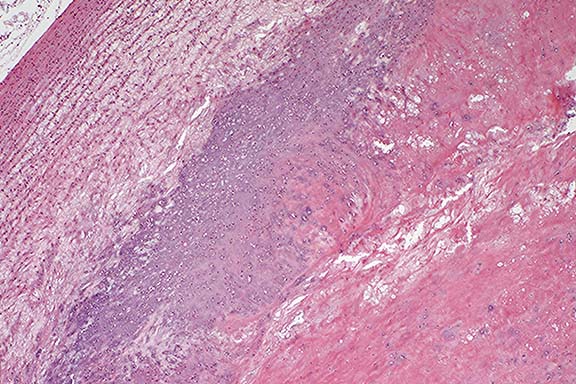
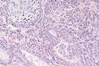
The mass is partially encapsulated and composed of a variety of haphazardly arranged, well-differentiated tissues from several germ layers, as well as morphologically undifferentiated tissue. Differentiated tissues include nervous tissue, striated muscle, cartilage and less differentiated connective tissue. There also is keratinized squamous epithelium, tissues in nests and forming ducts, tubular structures lined by ciliated respiratory epithelium and intestinal epithelium with goblet cells. Multifocally, there are nests of highly anaplastic "carcinoma" cells.

Teratomas arise from pluripotent stem cells which can differentiate into derivatives of all three primary germ layers (endoderm, mesoderm, and ectoderm). Benign teratomas consist of well-differentiated tissues from the different germ layers while malignant teratomas additionally contain nests of undifferentiated pluripotent stem cells (teratocarcinoma cells). Teratomas and teratocarcinomas typically arise in either the testis or ovary but there are also reports of extragonadal teratoid tumors.

Teratomas are rare in most strains of mice, the exception being inbred strain 129 mice. Selective breeding of strain 129 mice (strain 120/Sv-ter) resulted in one third of the males having spontaneous testicular teratomas. Experimentally, genital ridges from 12-day strain 129 fetuses grafted onto the testes of adult syngeneic mice resulted in an 80% incidence of teratomas at the site. These fetal genital ridges contained pluripotent primordial germ cells. Strain 129 mice also were shown to have increased risk of testicular teratoma when exposed in utero to ethinyl estradiol.

One method of creating transgenic mice is the injection of genetically-modified embryonal stem cells into host blastocysts. These embryonal stem cells have been considered the source of extragonadal teratocarcinomas in the resulting chimeric mice. Whether the gonadal malignant teratoma of the transgenic mouse of the present case originated from injected embryonic stem cells is unknown.

The k-FGF gene, a member of the family of fibroblast growth factor genes, is being considered as a marker for malignant teratoma. The k-FGF gene is expressed strongly in malignant murine spontaneous testicular teratoma, less strongly in the benign variant, and apparently is not involved in normal mouse testicular development.
 
Case 21-1. Testes. Note island of immature cartilage surrounded by immature glandular-like cuboidal and columnar epithelium and undifferentiated mesenchyme. 20X
AFIP Diagnosis: Testis: Teratoma, malignant, FVB/N-Trp53tm1Dol mouse, rodent.

Conference Note: Testicular teratomas are rare in all domestic species except the horse, in which they are the most frequently reported testicular tumor.10 Ovarian teratomas, likewise, are rare, but have been reported in the bitch, sow, mare, and cow.9

Grossly, teratomas vary in color and texture. A cystic or multilocular structure is common. Histologically, teratomas may contain structures derived from all embyronic germ layers, i.e. ectodermal (hair, teeth), neuroectodermal (nervous tissue, melanoblasts), entodermal (salivary gland, respiratory or digestive tissue), and mesodermal (fat, bone, muscle, fibrous connective tissue). Nervous tissue is almost always present.10

Contributor: National Institute of Environmental Health Sciences, P.O. Box 12233, Research Triangle Park, NC 27709
 
References:
1. Artzt K, Damjanov I: Spontaneous extragonadal teratocarcinoma in a mouse. Lab Anim Sci 28:584-586, 1978.
2. deAnta JM, Monzo M, Peris B, Ruano D: k-FGF protooncogene expression is associated with murine testicular teratogenesis but is not involved during mouse testicular development. Histol Histopathol 12:33-41, 1997.
3. Hardy K, Carthew P, Handyside AH, Hooper ML: Extragonagal teratocarcinoma derived from embryonal stem cells in chimeric mice. J Pathol 160:71-76, 1990.
4. Martin GR: Teratocarcinomas and mammalian embryogenesis. Science 209:768-776, 1980.
5. Saiga T, Osasa H, Hatayama H, Miyamoto T, Ono H, Mikami T: The origin of extragonadal teratoma: case report of an immature teratoma occurring in a prenatal brain. Pediatric Pathol 11:759-770, 1991.
6. Stevens LC: Testicular, ovarian, and embryo-derived teratomas. Cancer Surveys 2:75-91, 1983.
7. Tani Y, Murata S, Maeda N, Fukushige J, Hosokawa T: A spontaneous testicular teratoma in an ICR mouse. Toxicol Pathol 25:317-320, 1997.
8. Walker AH, Bernstein L, Warren DW, Warner NE, Zheng X, Henderson BE: The effect of in utero ethinyl estradiol exposure on the risk of cryptorchid testis and testicular teratoma in mice. Br J Cancer 62:599-602, 1990.
9. Kennedy PC, Miller RB: The female genital system. In: Pathology of Domestic Animals, 4th edition, Jubb KVF, Kennedy PC, Palmer N (eds.), Academic Press, Inc., 1993, vol. 3, pp. 368-370.
10. Ladds PW: The male genital system. In: Pathology of Domestic Animals, 4th edition, Jubb KVF, Kennedy PC, Palmer N (eds.), Academic Press, Inc., 1993, vol. 3, p. 510.

International Veterinary Pathology Slide Bank:
Laser disc frame #275, 845, 2737, 5670, 6510, 6511, 8379, 8446, 8447, 8449, 16600, 16601, 16643-45, 20024, 22796.

 

Case II - PA 3165 (AFIP 2593528)

Signalment: 5.5-year-old, female, Rhesus monkey (Macaca mulatta)

History: This monkey had given birth to a normal baby 6 1/2 months previously and had not been used for any experimental manipulation. In January of 1995, the animal was reported to be weak, dehydrated and anorexic. On physical examination, the monkey was wasted and jaundiced, with a nasal discharge and bilateral rales. Chest X-rays revealed disseminated, circumscribed, variably-sized, solid, radiopaque foci throughout both lung fields. There was marked pallor of the mucous membranes. No palpable lymphadenomegaly was present. The animal was euthanized.

Gross Pathology: Post-mortem evaluation revealed disseminated, variably- sized nodular foci, generally 1 - 2 cm in diameter, present throughout the pulmonary parenchyma. These were also noted in lesser numbers in the liver, spleen and adrenal gland, and a mass within the uterine lumen and wall caused moderate distension of this organ. The tissue was generally solid, although somewhat soft, with frequent central regions of caseation and cavitation. The lesions were sometimes uniformly hemorrhagic, or associated with a hemorrhagic rim.

Contributor's Diagnosis and Comments: Choriocarcinoma, uterus, Rhesus monkey.

Choriocarcinoma is a highly malignant tumor of trophoblastic cells. Although not common in women, increased risk is associated with miscarriage, ectopic pregnancy and hydatiform mole. The condition (spontaneously) is extremely uncommon in nonhuman primates, although the tumor is inducible in pregnant Patas monkeys by injection of ethylnitrosurea (ENU). Choriocarcinomas consist solely of a combination of trophoblastic cells (including cytotrophoblasts, syncytiotrophoblasts and intermediate trophoblasts) without chorionic villous structure formation. They tend to be highly invasive, are frequently hemorrhagic and necrotic, and metastasize widely, especially to lung. In humans this condition is highly responsive to chemotherapy. Immunohistochemically, this tumor stained strongly positive for human chorionic gonadotropin and keratin. These tumors may be less common in monkeys because of the generally less invasive nature of trophoblastic tissue within the uterus.
 
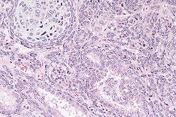
Case 21-2. Uterus. Demonstrates nests of carcinoma cells invading the myometrium. 20X
AFIP Diagnosis: Uterus: Carcinoma, Rhesus monkey (Macaca mulatta), nonhuman primate.

Conference Note: This case was studied in consultation with the Department of Gynecologic and Breast Pathology of the AFIP. Although careful consideration was given to the contributor's diagnosis of choriocarcinoma, sections viewed in conference did not show the biphasic mixture of cytotrophoblasts and synciotrophoblasts which is characteristic of that tumor. Immunohistochemical stains performed at the AFIP were focally positive for pancytokeratin and negative for human chorionic gonadotropin. The discrepancy between our immuno-histochemical results and those of the contributor might be related to the time interval between tissue sectioning and immunostaining at the AFIP. There is extensive invasion of lymphatic vessels by the neoplastic cells. The possibility of metastasis to the uterus, or from another part of the uterus, cannot be excluded.

Contributor: Division of Laboratory Animal Resources, S-1040 BioScience Tower, University of Pittsburgh, Pittsburgh, PA 15261

References:
1. Lindsey JR, Wharton LR Jr, Woodruff JD, Baker HJ: Intrauterine choriocarcinoma in a rhesus monkey, Path. Vet. 6: 1969, 378-384
2. Murphy-Hackley PA, Cain GR, McKenney FA: Diagnostic exercise: acute hemoptysis in an adult female Rhesus monkey. Lab Animal Science 43(5):492-493, 1993.
3. Nishikawa Y, Kaseki S, Tomoda Y, Ishizuka T, Asai Y, Suzuki T, Ushijima H: Histopathologic classification of uterine choriocarcinoma, Cancer 55:1044-1051, 1985.
4. Rosai J: Female reproductive system/Placenta. In: Ackerman's Surgical Pathology, 7th edition, C.V. Mosby Company, pp. 1184-1187, 1989.

 

Case III - NADC 96-2 (AFIP 2548578)

Signalment: 8-week-old, TCR-a-deficient mouse.

History: This animal was dosed with 10,000 Cryptosporidium parvum oocysts by gavage at 1 week of age, and was euthanized at 8 weeks of age. Infected TCR-a-deficient mice gained weight slower than control mice and developed soft mucoid feces beginning at 4 weeks of age.

Gross Pathology: The distal small intestine and the entire large intestine were thickened.

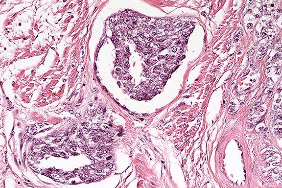
Contributor's Diagnosis and Comments: Cecum: Typhlitis, proliferative, diffuse, moderate, chronic with crypt abscesses and intralesional Cryptosporidium organisms, TCR-a-deficient mouse.

Mice deficient in the ab T-cell receptor have been shown to develop spontaneous diarrhea and wasting at 8-9 months of age. Morphologically, the spontaneous colitis resembles the typhlitis seen here with mucosal thickening due to crypt hyperplasia and elongated crypts lined by tightly packed enterocytes. Crypts are often dilated and many contain infiltrates of neutrophils and necrotic cells debris. The lamina propria is expanded by infiltrates of lymphocytes, plasma cells and fewer neutrophils. The pathogenesis of the spontaneous colitis in TCR-a-deficient mice is unclear although it is thought to involve a loss of oral tolerance to dietary antigens as a result of lack of abT-cell-mediated suppression of B cells. This loss of control could lead to an autoimmune attack against the intestinal epithelium. Cryptosporidial organisms accelerate the development of typhlitis and colitis in TCR-a-deficient mice, which is seen as early as 8 weeks in infected mice. The typhlitis is likely not the result of the cryptosporidia specifically, but rather the result of the inflammation initiated by the cryptosporidia. Previously, TCR-a-deficient mice have been shown to develop chronic cryptosporidiosis following oral inoculation while TCR-d-deficient and normal mice are able to clear the infection.
 
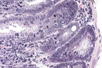
Case 21-3. Cecum. Note hyperplastic crypts with mitoses, often lined by numerous surface protozoa (Cryptosporidium parvum). 40X
AFIP Diagnoses:
1. Cecum: Typhlitis, proliferative, subacute, diffuse, moderate, with glandular microabscesses and numerous luminal surface-adherent protozoa, TCR-a-deficient mouse, rodent, etiology consistent with Cryptosporidium sp.
2. Small intestine: Villar blunting, multifocal, mild, with subacute enteritis, crypt hyperplasia, and numerous luminal surface-adherent protozoa, etiology consistent with Cryptosporidium sp.
3. Lymph node: Plasmacytosis, multifocal, moderate.

Conference Note: Lymph node was not present in all sections provided to contributors. Plasmacytosis may be another indicator of lack of ab T-cell-mediated suppression of B cells.

Cryptosporidium is an apicomplexan protozoan that infects birds, mammals, fish, amphibians, and reptiles; it is a significant zoonotic agent, especially in immunocompromised humans. Respiratory infection is most significant in birds, whereas the disease in mammals is usually enteric. Cryptosporidial infection has also been reported in the stomach of mice and snakes; the bursa of Fabricius in chickens; and in the biliary and pancreatic ducts and upper respiratory tract of HIV-infected humans, SIV-infected monkeys, and immunosuppressed Arabian foals.

Cryptosporidiosis in mammals is caused by C. muris, C. parvum, or C. wrairi. Cryptosporidium parvum appears to be freely transmissible among numerous host species, whereas C. muris infects the ruminant abomasum and probably the stomach of cats. Cryptosporidium wrairi is a pathogen of guinea pigs. Cryptosporidium meleagridis and C. baileyi infect birds, C. serpentis and C. crotali infect snakes, and C. nasorum infects fish.

Cryptosporidium has a typical coccidian life cycle, with merogony, gametogony, and sporogony occurring in the brush border of infected epithelial cells. Sporulated oocysts are either inhaled or ingested, which is followed by release and invasion of sporozoites in the respiratory or gastrointestinal tract. Subsequent to invasion of sporozoites, two types of schizonts develop: type I produce up to eight merozoites, which recycle to form more type I schizonts or produce a generation of type II schizonts. The type II schizonts form four merozoites which invade the host cell and eventually form gametocytes. Oocysts sporulate within the host to form four sporozoites. Oocysts are of two forms: 1) thin-walled oocysts, which excyst within the gut permitting autoinfection and amplification of the disease and 2) thick-walled oocysts, which excyst and are passed in the feces to complete the cycle.

In addition to Cryptosporidium, other protozoal genera which sporulate inside the host include Sarcocystis and Frenkelia.

Contributor: National Animal Disease Center, 2300 Dayton Road, Ames, IA 50010

References:
1. Mombaerts P, Mizoguchi E, Grusby MJ, Gilmcher LH, Bhan AK, Tonegawa S: Spontaneous development of inflammatory bowel disease in T cell receptor mutant mice. Cell 75:275-282, 1993.
2. Waters WR, Harp JA: Cryptosporidium parvum infection in T-cell receptor (TCR)-a- and TCR-d-deficient mice. Infection and Immunity 64(5):1854-1857, 1996.
3. Barker IK, van Dreumel AA, Palmer N: The alimentary system. In: Pathology of Domestic Animals, 4th edition, Jubb KVF, Kennedy PC, Palmer N (eds.), Academic Press, Inc., 1993, vol. 2, pp. 312-315.
4. Gardiner CH, Fayer R, Dubey JP: An Atlas of Protozoan Parasites in Animal Tissues, US Dept. of Agriculture Handbook No. 651, Washington DC, 1988, pp. 36-37.
International Veterinary Pathology Slide Bank:
Laser disc frame #5222-5225, 7256, 12572, 12573, 16270-74, 20484, 20558-60, 20600, 21238, 21239, 23282.

 

Case IV - A40486 (AFIP 2592626)

Signalment: 40-year-old, female, African grey parrot (Psittacus epithacus).

History: This parrot exhibited weakness due to anorexia for several days. Physical examination revealed that the bird was weak, cachectic and had abdominal effusion.

Gross Pathology: There was 15 ml of clear fluid in the thoracic cavity and 25 ml of clear fluid in the abdominal cavity. The aorta and left and right pulmonary arteries were firm, gritty, and had a nodular appearance. The right thyroid was enlarged, 6 mm in diameter. The left thyroid was 3 mm in diameter.

Laboratory Results: Hypoalbuminemia (total protein 1.2 gm/dl, albumin 0.5 gm/dl, and globulin 0.7 gm/dl) was observed in blood chemistry profile.

Contributor's Diagnosis and Comments: Arteriosclerosis, aorta and pulmonary arteries.

The lesions of the aorta and pulmonary arteries consisted of fragmentation of elastic and collagen fibers with cholesterol deposition and proliferation of spindle cells in the media. There was chondroid metaplasia, mineralization and proliferation of smooth muscle cells in the subintimal tissue and intima, which caused narrowing of the lumen. These lesions are similar to those reported in captive wild birds with thyroid disease and arteriosclerosis, but different from those in dogs and human patients with atherosclerosis.
 
Case 21-4. Aorta. The media is thickened by a mass of maturing cartilage.The adventitial and remaining elastic layers are to the left. 4X
AFIP Diagnosis: Fibroelastic artery: Atherosclerosis, severe, with chondroid metaplasia, African grey parrot (Psittacus epithacus), avian.

Conference Note: This case was studied in consultation with the Department of Cardiovascular Pathology of the AFIP. The eccentric fibroatheromatous plaque which contains cholesterol clefts resembles human atherosclerosis; however, chondroid metaplasia is unusual in atherosclerosis in humans.

The pathogenesis of atherosclerosis (AS) is an area of current intense research interest. AS and its complications are major causes of morbidity and mortality in humans. Although the distribution of lesions differs from the human, the pig is the only domestic animal species in which AS develops spontaneously.6 It is less commonly seen in dogs; in that species it is almost invariably associated with hypothyroidism or diabetes mellitus.6 A number of animal models of AS have been produced over the last 3 decades, including nonhuman primates, pigs, rabbits, and chickens. Heritable hyperlipidemia of Watanabe rabbits has served as a model of human familial hypercholesterolemia. The apolipoprotein E-deficient (knockout) mouse, recently reported to develop atherosclerotic lesions resembling those in humans, is considered the most promising mouse model.8

The two classic lesions associated with atherosclerosis are the fatty streak and the fibrous plaque. The fatty streak, which often begins in children, may be an early stage in the formation of atherosclerotic lesions. In humans, the fatty streak is characterized by an intimal (subendothelial) accumulation of lipid-laden "foam cells", most of which are macrophages. Smooth muscle cells can be lipid-laden as well. This lesion also contains small amounts of extracellular lipid and variable numbers of lymphocytes. The fatty streak can progress to an intermediate fibrofatty lesion, and ultimately to the more serious fibrous plaque.7

The fibrous plaque (or atheroma) has a characteristic histologic structure. It consists of a subendothelial fibrous cap (composed of proliferating smooth muscle cells, macrophages, lymphocytes, foam cells, and extracellular matrix) which covers a necrotic core consisting of acellular debris, extracellular lipid with cholesterol crystals, and some foam cells.7

Advanced atherosclerotic lesions are associated with 4 classic complications: 1) calcification of the lesion increases the rigidity of the vessel wall; 2) rupture of the plaque may result in thrombosis and embolism; 3) hemorrhage into the plaque may result in additional narrowing of the vessel lumen; and 4) fibrous plaques increase vessel wall fragility and cause loss of elastic tissue, which may result in aneurysmal dilatation and vessel rupture.7

The morphology of atherosclerosis differs significantly between dogs and humans. In canine arteries, lipid accumulates primarily in the media and adventitia, whereas in humans the accumulation is primarily intimal.6

Animal studies have shown that adherence of monocytes and lymphocytes to endothelium is one of the earliest events in AS. In the Watanabe rabbit and in humans, increased expression of VCAM-1 in endothelium overlying early foam cell lesions has been demonstrated. Also, there is local production of chemoattractants specific for monocytes, such as monocyte chemotactic protein-1 (MCP-1) and monocyte colony stimulating factor (M-CSF). Oxidative stress in the vessel wall, resulting from the generation of free radicals and other reactive species, is also believed to play an important role in the pathogenesis of AS.7 In support of this hypothesis, epidemiologic studies in humans have demonstrated an association between increased intake of antioxidant compounds, such as vitamin E and vitamin C, and reduced morbidity and mortality from coronary artery disease.9

Contributor: The Animal Medical Center, 510 East 62nd Street, New York, NY 10021

References:
1. Mueller RW, Rapley WA, Mehren KG: Pathology of thyroid diseases and arteriosclerosis in captive wild birds. In: The Comparative Pathology of Zoo Animals, Montali RJ and Migaki G (eds.), Smithsonian Institute, 1980, pp. 523-528.
2. Liu S-K, et al: Clinical and pathologic findings in dogs with atherosclerosis: 21 cases (1970-1983). JAVMA 189:227-232, 1986.
3. Liu S-K, et al: Diseases of vessels. In: An Atlas of Cardiovascular Pathology. Pig Research Institute, Taiwan, 1989, pp. 311-332.
4. Clarkson TB, et al: Naturally-occurring atherosclerosis in birds. Ann N Y Acad Sci 127:685-693, 1959.
5. Veterinary Pathology, 6th edition, Jones TC, Hunt RD, and King NW (eds.), Williams and Wilkins, 1997, pp. 997-1000.
6. Robinson WF, Maxie MG: The cardiovascular system. In: Pathology of Domestic Animals, 4th edition, Jubb KVF, Kennedy PC, Palmer N (eds.), Academic Press, Inc., 1993, vol. 3, pp. 54-56.
7. Collins T: Elements of vascular pathology. In: Cellular and Molecular Pathogenesis, Sirica AE (ed.), Lippincott-Raven, Philadelphia, 1996, pp. 134-148.
8. O'Neill TP: Apolipoprotein E-deficient mouse model of human atherosclerosis. Toxicologic Pathology 25(1):20-21, 1997.
9. Diaz MN, Frei B, Vita JA, Keaney Jr JF: Antioxidants and atherosclerotic heart disease. New England Journal of Medicine 337(6):408-414, 1997.

International Veterinary Pathology Slide Bank:
Laser disc frame #7907, 7908, 9394, 15657, 15669, 18397, 18398, 18403, 18410, 18416, 18480, 18481.

Terrell W. Blanchard
Major, VC, USA
Registry of Veterinary Pathology*
Department of Veterinary Pathology
Armed Forces Institute of Pathology
(202)782-2615; DSN: 662-2615
Internet: blanchard@email.afip.osd.mil

* The American Veterinary Medical Association and the American College of Veterinary Pathologists are co-sponsors of the Registry of Veterinary Pathology. The C.L. Davis Foundation also provides substantial support for the Registry.

Return to WSC Case Menu.