Results
AFIP Wednesday Slide Conference - No. 19

25 February 1998

Conference Moderator:
Dr. Steven E. Weisbrode, Diplomate, ACVP
The Ohio State University
Department of Veterinary Biosciences
1925 Coffey Road
Columbus, OH 43210

Return to WSC Case Menu.

Case I - 97B3016 or 97B3017 (AFIP 2593657)

Signalment: 4-5 week, Suffolk, both sexes, sheep.

History: Lambs exhibited sudden hind-limb paresis or fractures of long bones. Lambs were housed outdoors.

Gross Pathology: One lamb had a compression fracture of a lumbar vertebra. A second lamb had a fracture of a distal femoral metaphysis involving the physis. Both lambs had a few firm swellings of midshaft ribs, the ribs were soft and bent easily without snapping, and vertebrae were soft and easily sliced with a knife.

Laboratory Results: Milk replacer analysis (dry weight): Calcium: 0.34%; Phosphorus: 0.41%.

Contributor's Diagnoses and Comments: 1. Bone (vertebra, rib): Osteoporosis, severe. 2. Bone (vertebra): Compression fracture, acute (pathologic).

Etiologic diagnosis: Dietary calcium deficiency.

Only orphan lambs were affected, which were being fed milk replacer. At the label dilution of 1 part dry matter to 4 parts water, the mixed replacer would contain approximately 0.07% Ca and 0.08% P, which are below concentrations in ewes' milk (0.18% Ca and 0.14% P). The slightly altered Ca:P ration may also have affected calcium metabolism.
 
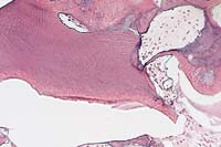
Case 19-1. Rib. The thin cartilage trabeculae arising from the epiphysis (right) show no ossification. Where partially mineralized, they have a scalloped edge, suggesting osteoclastic resorption. Note the increased cortical fibrous tissue (upper left). 4X
AFIP Diagnosis: Bone, vertebra: Osteoporosis, with compression fracture and fibrous osteodystrophy, Suffolk, ovine.

Conference Note: Osteopenia indicates reduced bone mass. Osteoporosis, or bone atrophy, signifies a pathologic loss of bone, usually with clinical significance. Osteoporosis results when bone resorption predominates over bone formation. It is a common lesion in farm animals, and in these animals its origin is usually nutritional.

Nutritional imbalances which can result in osteoporosis include starvation; deficiencies of calcium, phosphorus, or copper; and excess of molybdenum. Calcium deficiency uncomplicated by vitamin D and/or phosphorus deficiency rarely, if ever, occurs as a natural disease. In contrast, complicated calcium deficiency is common.2 In both young and adult animals, this results in a loss of cancellous bone. Bones with a high trabecular component, such as verebrae, are most severely affected. In mature animals, calcium deficiency may be asymptomatic, but in young animals pathologic trabecular bone fractures may occur. Often the parathyroid glands are enlarged due to secondary hyperplasia. This leads to increased osteoclastic resorption. Fibrous osteodystrophy may result, as in this case, but is usually less extensive than that seen in the osteodystrophy of calcium deficiency secondary to phosphorus excess.2 The vertebra from this lamb exhibits marked endocortical and mild marrow cavity fibrosis, both resulting from fibrous osteodystrophy. Although few osteoclasts are demonstrable, multiple scalloped edges on bone trabeculae are convincing evidence of increased resorption.

Contributor: Wyoming State Veterinary Laboratory, 1174 Snowy Range Rd., Laramie, WY 82070
 
References:
1. Nutrient Requirements of Sheep, 6th ed., National Academy Press, Washington, D.C., p. 12, 1984.
2. Palmer N: Bones and joints. In: Pathology of Domestic Animals, 4th edition, Jubb KVF, Kennedy PC, Palmer N, eds., Academic Press, Inc., Vol. 1, pp. 58-65, 1993.

International Veterinary Pathology Slide Bank:
Laser disc frame #8117, 8118, 12834, 19138, 19139.

 

Case II - N94-024 (AFIP 2595793)

Signalment: 1-year-old, male, Sprague-Dawley rat.

History: This rat was a control animal in a 2-year carcinogenicity study. Rats were fed a commercial diet of ground rat chow. The animal was euthanatized.

Gross Pathology: The animal was moderately thin. A hard mass, 4 cm in diameter, was present on the left side of the mandible.

Contributor's Diagnosis and Comments: Mandible: Odontoma, compound, Sprague-Dawley rat.

Spontaneously occurring odontomas are uncommon in the rat. The term "odontoma" refers to a dental neoplasm (or hamartoma) in which maturation has progressed to the stage of development of both enamel and dentin. Two types are recognized in rats, the complex odontoma and the compound odontoma. The compound odontoma exhibits a high degree of morphologic differentiation and the hard tissue elements actually resemble small deformed teeth (denticles). The hard tissue generally appears as dentin (an acellular, smooth, eosinophilic material) with smaller amounts of cementum (resembling bone, but often staining basophilic). Enamel may be completely removed upon decalcification, in which case it appears as a clear space or cleft in apposition to the dentin. Following complete decalcification of immature enamel, small amounts of enamel matrix may be found but it usually stains poorly with hematoxylin and eosin. Also, incompletely decalcified specimens may have residual enamel that stains basophilic with hematoxylin and eosin. In contrast, complex odontomas contain dental pulp mesenchymal cells and hard tissue elements, but there is very poor morphologic differentiation, resulting in a mass that has little resemblance to normal tooth architecture. The complex and compound odontoma differ from the ameloblastic odontoma by the absence of distinct areas of ameloblastic tissue that lack hard tissue elements.
 
Case 19-2. Mandiblular neoplasm. Note dense acellular eosinophilc and basophilic dentin with a prominent tubular array (wavy linear pattern). There is minimal loose mesenchyme. 20X
AFIP Diagnosis: Bone, mandible (per contributor): Odontoma, Sprague-Dawley rat, rodent.

Conference Note: This case was also studied by the Department of Oral and Maxillofacial Pathology of the AFIP; most of the staff members of that department favored a diagnosis of complex odontoma. They noted that clinicopathologic correlation with radiographs would be helpful in confirming the diagnosis. They stated that both types of odontomas are well differentiated, but complex odontomas are less "organized" than compound odontomas. According to one author, distinction of the two types may be arbitrary.4

Odontomas are usually located in the mandibular or maxillary arch, and are more common in cattle and horses than in other domestic species.

Contributor: The Procter & Gamble Company, Miami Valley Laboratories, P.O. Box 398707, Cincinnati, Ohio 45239-8707

References:
1. Brown HR, Leininger JR. Changes in the Oral Cavity. In: Mohr U, Dungworth DL, Capen CC, eds. Pathobiology of the Aging Rat. Vol. 2. Washington D.C. ILSI Press, 1994:309-322.
2. Brown HR, Hardisty JF. Oral Cavity, Esophagus, and Stomach. In: Boorman GA, Eustis SL, Elwell MR, Montgomery CA, MacKenzie WF, eds. Pathology of the Fischer Rat. San Diego Academic Press, 1990:9-30.
3. Long PH, Leininger JR, Nold JB, and Lieuallen WG. Proliferative lesions of bone, cartilage, tooth, and synovium in rats. MST-2. In: Guides for Toxicologic Pathology, STP/ARP/AFIP, Washington, DC. 1993.
4. Barker IK, Van Dreumel AA, Palmer N: The alimentary system. In: Pathology of Domestic Animals, 4th edition, Jubb KVF, Kennedy PC, Palmer N, eds., Academic Press, Inc., Vol. 2, p. 26, 1993.
5. Slootweg PJ, Kuijpers MH, van de Kooij AJ: Rat odontogenic tumors associated with disturbed tooth eruption. J Oral Pathol Med 25(9):481-3, 1996.

International Veterinary Pathology Slide Bank:
Laser disc frame #20059

Case III - 97-813 (AFIP 2594133); 2 photos

Signalment: 5-year-old, female, Chesapeake Bay Retriever, canine.

History: This dog had an eight month progressively worsening lameness of the right rear leg. Radiographic examination revealed lysis of the right tibial tarsal bone. Radiographic examination of the thorax revealed no lesions. The right rear limb was amputated.

Gross Pathology: The medullary cavity of the right tibial tarsal bone was mostly filled with a firm (not hard), brown-white mottled material. The contour of the bone appeared normal.

Contributor's Diagnosis and Comments: Tibial tarsal bone; chondrosarcoma, moderately differentiated.

Malignancy is based on atypia and destruction and invasion through the cortex mostly on surfaces not covered with articular cartilage. Unusual in this case is the presumed long clinical course, the location in the tarsus and relatively confined growth of the malignancy. Ling, in a series of 133 primary skeletal sarcomas in dogs, found none in the tarsus. In a report of 35 canine skeletal chondrosarcomas, Brodey found 1 in the tarsus. Jacobsen reports 1 tarsal chondrosarcoma in the dog out of 59 cases. In humans, chondrosarcoma of the hands and feet are rare. However, in a series of 30 chondrosarcomas of the hands and feet in humans, Dahlin reported 8 were from the tarsus.
 
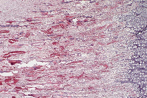
Case 19-3. Bone. Demonstrates moderately differentiated chondroid cells producing a basophilic chondroid matrix. 20X
AFIP Diagnosis: Tibial tarsal bone: Chondrosarcoma, Chesapeake Bay Retriever, canine.

Conference Note: Chondrosarcoma (CS) is the second most common skeletal neoplasm in dogs and man.1 As with osteosarcoma (OS), CS most frequently affects large breed dogs. However, in contrast to OS, CS rarely affects the giant breeds such as the Great Dane or St. Bernard.

Primary chondrosarcomas arise from existing normal cartilage and from perichondrium. Secondary chondrosarcomas develop from abnormal cartilage, such as that which exists in osteochondromas. Chondrosarcomas are usually found in mature animals, and occur more often in the pelvis, nasal cavity, sternum, and ribs than in the axial skeleton.5 In contrast with OS, CS grow more slowly and metastasize later. They may be associated with recurrences many years after initial surgery.1 A recent report by Hahn et al. described bilateral renal metastases of a nasal chondrosarcoma in a dog, which occurred one year following nasal surgery and radiotherapy for the primary tumor.6

Contributor: The Ohio State University, Department of Veterinary Biosciences, 1925 Coffey Road, Columbus, OH 43210
 
References:
1. Brodey RS, Misdorp W, Riser WH, van der Heul RO: Canine skeletal chondrosarcoma; a clinicopathologic study of 35 cases. JAVMA 165:68-78, 1974.
2. Ling GV, Morgan JP, Pool RR: Primary bone tumors in the dog: a combined clinical, radiographic and histologic approach to early diagnosis. JAVMA 165:55-67, 1974.
3. Jacobson SA: The Comparative Pathology of the Tumors of Bone, Charles C. Thomas, Springfield, IL, 1971, p. 115.
4. Dahlin DC, Salvador AH: Chondrosarcoma of bones of the hands and feet - a study of 30 cases. Cancer 34:755-760, 1974.
5. Palmer N: Bones and joints. In: Pathology of Domestic Animals, 4th edition, Jubb KVF, Kennedy PC, Palmer N, eds., Academic Press, Inc., Vol. 1, p. 132, 1993.
6. Hahn KA, McGavin MD, Adams WH: Bilateral renal metastases of nasal chondrosarcoma in a dog. Vet Pathol 34:352-355, 1997.

International Veterinary Pathology Slide Bank:
Laser disc frame #678, 758, 1030-31, 1392-93, 1790-91, 2258, 2863, 3690-91, 3769-70, 5601, 7920, 24656.

 

Case IV - 97N186 (AFIP 2595761); one photo

Signalment: 4-week-old, Quarterhorse, male, equine.

History: Progressive lameness and swelling of the carpus. Radiographs of the distal radius showed bilateral radiolucency and irregular profile of the distal radial physis.

Gross Pathology: Sections across the distal radius showed an irregular profile of the metaphyseal side of the distal physis. The physis showed irregular thickness and interrupted areas of fragmented and disjointed ossification.

Contributor's Diagnosis and Comments: Osteochondrosis of the distal physis of the radius, equine.

Histologically, across the distance of the metaphyseal side of the physis there is considerable variation in the growth plate morphology. Abnormal areas of retarded enchondral ossification are seen along the metaphyseal border of the physis. Severely affected areas show retention of cartilage well into the metaphysis and formation of linear lesions where there has been complete failure of ossification.
 
Case 19-4. Bone. Shows retained cartliage with partial ossifiication. Mesechymal cells on the surface of this trabeculum do not appear to be remodelling the osteoid. 20X
AFIP Diagnosis: Bone, distal radius: Physeal dysplasia, focally extensive, with failure of endochondral ossification, Quarterhorse, equine.

Conference Note: Some sections contain an incomplete metaphyseal fracture with associated callus formation. Most sections contained a roughly triangular locus of trabecular bone bounded by cartilage near one end of the physis. This lesion was interpreted to be a focus of retained cartilage that had undergone partial mineralization and ossification and subsequent fracture. Possible reasons for the cartilage retention include 1) primary idiopathic cartilage retention (the dysplasia form of osteochondrosis), or 2) an initial fracture, with interference of blood vessels and resultant inhibition of mineralization of the cartilage.

The causes of osteochondrosis are not well understood. Multiple factors are considered to be involved, including genetic predisposition, rapid growth, degree of physical activity, gender, and nutritional status.2

Contributor: School of Veterinary Medicine, University of Wisconsin, 2015 Linden Drive West, Madison, WI 53706

References:
1. Woodard JC, Becker HN, Poulos PW: Effect of diet on longitudinal bone growth and osteochondrosis in swine. Vet Pathol 24:109-117, 1987.
2. Palmer N: Bones and joints. In: Pathology of Domestic Animals, 4th edition, Jubb KVF, Kennedy PC, Palmer N, eds., Academic Press, Inc., Vol. 1, pp. 118-125, 1993.

International Veterinary Pathology Slide Bank:
Laser disc frame #8014-15, 10760-64, 21033-34.

Terrell W. Blanchard
Major, VC, USA
Registry of Veterinary Pathology*
Department of Veterinary Pathology
Armed Forces Institute of Pathology
(202)782-2615; DSN: 662-2615
Internet: blanchard@email.afip.osd.mil

* The American Veterinary Medical Association and the American College of Veterinary Pathologists are co-sponsors of the Registry of Veterinary Pathology. The C.L. Davis Foundation also provides substantial support for the Registry.

Return to WSC Case Menu.