Results
AFIP Wednesday Slide Conference - No. 15

21 January 1998

Conference Moderator:
Dr. Richard J. Montali, Diplomate, ACVP
Department of Pathology
National Zoological Park
3001 Connecticut Ave NW
Washington, D.C. 20008

Return to WSC Case Menu.

Case I - 97B5155 (AFIP 2593522)

Signalment: Approximately 10-month-old, Salers cross, female ox (Bos taurus).

History: The heifer was losing weight despite anthelmintic treatment and preferential feeding. Physical examination revealed a thin, weak, 152 kg animal with a temperature of 37.8o C and depressed ruminal motility.

Gross Pathology: The entire liver was firm, with a thickened, opaque capsule and thin arborizing white bands that faintly delineated hepatic lobules. The gallbladder wall was thickened and had mild papillary mucosal projections. The cut surface of submandibular and hepatic lymph nodes was darkly tinted.

Laboratory Results:
PCV 27% WBC 11.0 X 103 / ul
HGB 8.3 g/dl segs 5390 / ul
MCHC 30.7 g/dl bands 550 / ul
Retics not observed lymphs 4070 / ul
Plt 253 X 103 / ul eos 550 / ul
Alb 2.8 g/dl monos 440 / ul
TP (serum) 9.1 g/dl fibrinogen 400 mg / dl
Glob 6.3 g/dl Na 151 mmol
ALP 652 IU K 4.5 mmol
AST 118 IU Cl 104 mmol
TBil 2.17

Serum Iron 718 ug/dl
Total Iron Binding Capacity 718 ug/dl
Unbound Iron Binding Capacity 0%
Transferrin saturation 100%
Hepatic iron concentration: 6480 ppm, wet weight
Hepatic copper concentration: 1 ppm, wet weight
Hepatic molybdenum concentration 3.7 ppm, wet weight
Hepatic zinc concentration 22.3 ppm, wet weight

Aerobic bacterial culture of liver and bile: neg
Bovine virus diarrhea virus culture of blood and multiple organs: neg

Contributor's Diagnoses and Comments:
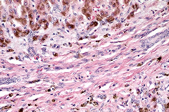
1. liver: hepatic degeneration, chronic, diffuse, severe, characterized by profound hepatocellular hemosiderosis, bridging portal and centrilobular fibrosis, marked reduction of hepatocellular mass, and biliary hyperplasia.
2. lymph node (hepatic and submandibular): lymphadenopathy, chronic, diffuse, severe, characterized by profound intraphagocytic hemosiderosis, effacement of nodal parenchyma by sheets of histiocytes, and mineralization of arterioles and connective tissue.
3. lymph node (hepatic): lymphadenitis, granulomatous, multifocal, mild, with associated, mineralized fungal hyphae.

Etiologic Diagnoses:
1. Hemochromatosis of Salers cattle (autosomal recessive trait).
2. Mycotic infection (secondary).

Hemochromatosis is a rare, inheritable disease caused by excessive absorption of normal dietary iron. It has been reported in Salers cattle and is thought to be an autosomal recessive trait. In this case, the same bull (3/4ths Salers) was both sire and grandsire of the affected heifer. Hemosiderosis affected the liver and lymph nodes of this calf, and to a much lesser extent the lung and kidney (brain and pancreas were not examined). The spleen contained unremarkable quantities of intraphagocytic hemosiderin within periarteriolar lymphoid sheaths, and hemosiderin deposits were not observed in the red pulp. The iron content in the liver was extremely elevated, especially considering the high proportion of connective tissue. If expressed on a dry weight basis, the iron concentration would exceed 20,000 ppm.

Similar conditions occur in people and birds. Secondary iron overload is caused by excessive parenteral iron or repeated blood transfusions. Dietary iron overload is important in Bantu people that drink a high iron beverage and are genetically predisposed to iron accumulation.

It is possible that the mycotic infection in this calf occurred secondary to immunosuppression. The fungal hyphae observed in the lymph node appear dead and are often mineralized. The rising iron concentration in the lymph node may have eventually become toxic to the fungi.

Low hepatic copper stores in this calf could have resulted from decreased hepatocellular mass, dietary copper deficiency, and high dietary molybdenum.
 
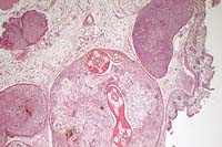
Case 15-1. Liver. There is increased dense fibrous tissue in the portal area between 2 hepatic lobules. Remaining hepatocytes are filled with cytoplasmic hemosiderin. 20X
AFIP Diagnoses:
1. Liver: Brown granular pigment accumulation, hepatocytes and Kupffer cells, diffuse, severe, with diffuse fibrosis, biliary hyperplasia, hepatocellular loss, and multifocal nodular hyperplasia, Salers cross, bovine.
2. Lymph node: Brown granular pigment accumulation, diffuse, severe, with vascular mineralization.
3. Lymph node: Lymphadenitis, granulomatous, multifocal, moderate, with mineralized fungal hyphae.

Conference Note: The brown granular pigment stained blue with Perls iron stain, confirming that it is hemosiderin.

Primary hemochromatosis in humans, though similar to the condition seen in Salers cattle, differs in several ways. In cattle, iron accumulates in pancreatic acini, whereas in humans both acini and islets are affected. In fact, 75-80% of affected humans develop diabetes mellitus.3 Other findings in cattle that differ from those in humans include mineralization of portal blood vessels, lack of pancreatic fibrosis, and lack of deposition of hemosiderin in myocardial, joint, or epidermal tissues.1

Definitive diagnosis of hemochromatosis requires evidence of liver damage, as well as confirmation of excessive iron stores through liver biopsy. In humans, symptomatic patients usually have levels in excess of 10,000 ppm dry weight, and in those with complicating cirrhosis, levels generally exceed 22,000 ppm.

Though the mechanisms for regulation of intestinal iron absorption are obscure, the fundamental disease mechanism in hemochromatosis is believed to be a direct iron toxicity to host tissues. The following mechanisms have been proposed: (1) lipid peroxidation via iron-catalyzed free radical reactions (the Fenton reaction); (2) iron stimulation of collagen formation; and (3) direct interactions of iron with DNA, leading to lethal alterations.3

Contributor: Wyoming State Veterinary Laboratory, 1174 Snowy Range Road, Laramie, Wyoming 82070

References:

1. House JK, Smith BP, Maas J, et al. Hemochromatosis in Salers cattle. J Vet Intern Med 8:(2)105-111, 1994.
2. Lee RG. Iron accumulation, In: Diagnostic Liver Pathology. Mosby, Chicago, 238-248, 1994.
3. Crawford JM: The liver and the biliary tract. In: Robbins Pathologic Basis of Disease, 5th edition, Cotran RS, Kumar V, Robbins SL (eds.), W.B. Saunders, 1994, pp. 861-863.

International Veterinary Pathology Slide Bank:
Laser disc frame #19513-4.

 

Case II - 96-046-2 (AFIP 2603035)

Signalment: Adult zebra fish (Brachydanio rerio).

History: This is one of approximately 100 fish divided between 2 tanks used in a reproductive physiology research program. Affected fish stopped eating and had evidence of respiratory distress. Representative fish from the tanks were euthanized by immersion in MS 222 and complete necropsies were immediately performed.

Gross Pathology: In affected fish, the gill lamellae were thickened and diffusely red-purple with pinpoint yellow foci. There were no other gross abnormalities.

Laboratory Results: Wet mounts of gill clippings obtained at necropsy demonstrated large numbers of round to pear-shaped, 50-100 :m diameter, brown organisms that were attached to the gill lamellae by a thin stalk (rhizoid).

Contributor's Diagnosis and Comments: Gill: Branchitis, proliferative, subacute, with myriad protozoan trophonts consistent with Piscioodinium spp.

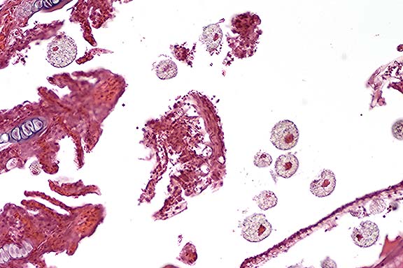
Histologic findings were similar in all fish examined. In addition to the proliferative branchitis, affected fish had a multifocal, acute dermatitis associated with organisms identical to those observed in the gills. The organisms in histologic section were up to 60 :m wide with abundant foamy cytoplasm and a prominent eosinophilic nucleus. In some sections, the parasite is observed attached to the gill lamellae by a thin, almost transparent stalk or rhizoid. Fine, brown granules are observed within most of the parasitic trophonts and are interpreted as photosynthetic pigment.

These findings are considered compatible with oodinosis or "velvet disease" caused by the dinoflagellate parasites Piscinoodinium spp in freshwater fish or Amyloodinium ocellatum in saltwater fish. A wide variety of teleost species as well as elasmobranchs can be affected. Infections with the freshwater forms have also been described in aquatic amphibians. Oodinosis can be the cause of extensive morbidity and mortality in aquarium systems and can be difficult to eradicate.

The life cycle of the parasite is very similar to another common parasite of fish, Ichthyophthirius multifiliis, the cause of "Ich". Nonmotile, feeding trophonts are firmly attached to the gills or to the skin by attachments called rhizoids. After a period of a few days, the trophonts detach from the host and become tomonts, which undergo division to produce the biflagellated infective dinospores. The motile dinospores attach to the host and begin the life cycle anew.

Clinical signs in affected fish are similar to those observed in these zebrafish and include respiratory distress in cases where there is extensive involvement of the gills. In fish with heavy cutaneous involvement, there may be a dust-like discoloration to the skin which is most easily observed in dark colored fish. Diagnosis is by demonstration of the organism in wet mounts of the gill or skin, or in fresh cases by histopathology. Treatment may be attempted in marine fish with copper or more often in freshwater fish with formalin.
 
Case 15-2. Gill. Numerous free protozoal trophonts have foamy cytoplasm and a round eosinophilic nucleus, consistent with a dinoflagellate, Piscioodinium spp. 20X
AFIP Diagnosis: Gills: Branchitis, chronic-active and proliferative, diffuse, moderate, with numerous dinoflagellate trophonts, zebra fish (Brachydanio rerio), piscine.

Conference Note: At least three morphologic characteristics allow one to differentiate Piscinoodinium, a dinoflagellate, from Ichthyophthirius, a ciliate, in histologic section. Ichthyopthirius (Ich) trophonts are often encysted within the host epithelium of gills or skin; Noga3 considers this to be a pathognomonic finding. Ich has a horseshoe-shaped macronucleus and the trophonts are generally larger than those of Piscinoodinium, ranging up to 1 mm.3,5

Contributor: National Zoological Park, 3001 Connecticut Avenue NW, Washington, D.C. 20008

References:

1. Cheung P: Parasitic diseases of marine tropical fishes. In: Stoskopf MK: Fish Medicine. Philadelphia, PA, W.B. Saunders Co., 1993, p 647.
2. Gratzek JB: Parasites associated with freshwater tropical fishes. In: Stoskopf MK: Fish Medicine. Philadelphia, PA. W.B. Saunders Co., 1993 p 583.
3. Noga EJ: Fish Disease. St Louis, MO, Mosby-Year Book Inc., 1996, pp 105-108.
4. Wright KM: Amphibian husbandry and medicine. In: Mader DR: Reptile Medicine and Surgery. Philadelphia, PA, W.B. Saunders Co., 1996, pp 450-451.
5. Soulsby EJL: Helminths, Arthropods and Protozoa of Domesticated Animals, 7th edition, Lea & Febiger, Philadelphia, 1982, pp. 749-750.

International Veterinary Pathology Slide Bank:
Laser disc frame #19889-91, 23232, 24411

 

Case III - L86 (AFIP 2600615)

Signalment: 5-year-old, female, brown-eared pheasant (Crossoptilon mantchuricum)

History: This animal was from a zoo, and was found dead. Its general body condition was poor.

Gross Pathology: The cecal wall was diffusely thickened and nodular.

Contributor's Diagnosis and Comments: Cecum: Typhlitis, granulomatous, with mesenchymal proliferation around Heterakis isolonche.

Histology: The submucosa is widely expanded by the presence of well-circumscribed, discrete, irregularly-sized, and highly cellular nodules which impinge on the mucosa and tunica muscularis. Most of them are composed of small interlacing bundles of elongated fibroblast-like cells around one or a few sections of a nematode parasite. Onion-like arrangements around blood vessels are sometimes observed. The cells show an open-faced nucleus, a prominent nucleolus and an eosinophilic, sometimes vacuolated, cytoplasm.

The nematode is typical of Heterakis isolonche: polymyarian coelomyarian musculature, triradiate intestine, uninucleate cuboidal to columnar intestinal cells with a low microvillar border, large unstalked lateral chords and prominent cuticular alae extending almost through the entire length of the body. Numerous thick-shelled eggs are present within a few nodules.

Some nodules are composed of variable proportions of finely vacuolated, slightly pigmented macrophages (interpreted to be lipofuscin pigment) and vacuolated polygonal cells with hyperchromatic nucleus (interpreted to be degenerated fibroblast-like cells). Numerous small collections of pigmented macrophages are interspersed between the large nodules; they are considered to be the footprints of previous parasitic nodules which have degenerated.

Although inflammatory cells are generally scant around the parasites, areas of necrosis and foreign-body macrophagic reaction (notably around degenerated eggs) are sometimes observed. Atrophy of the mucosa, mild inflammatory cells infiltrating in the lamina propria, and hypertrophy of the muscularis mucosa and tunica muscularis are associated histological changes.

Comments: Two Heterakis species inhabit the cecum of the pheasant, H. gallinarum and H. isolonche. The life cycle is direct. H. gallinarum lives in the cecal lumen, is common in domestic poultry, and is an important carrier of Histomonas meleagridis. H. isolonche lives in the submucosa of the cecum and is observed mainly in pheasants, but also is found in ocellated turkeys, in which they induce a chronic debilitating, often fatal, parasitic disease. Although the nodules are highly cellular and show a striking sarcomatous appearance, no malignant transformation (similar to the esophageal neoplasia induced by Spirocerca lupi in dogs) has been reported with H. isolonche.
 
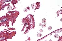
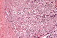
Case 15-3. Cecum. Ascarid larvae (Heterakis isolonche) embedded in a loose submucosal fibrohistiocytic nodule. The large cross section shows the lateral alae of ascarids. Smaller larvae are in the dense fibroblastic nodule also. 4X
AFIP Diagnosis: Cecum, submucosa: Fibrohistiocytic and granulomatous nodules, diffuse, with intralesional adult ascarids and eggs, brown-eared pheasant (Crossoptilon mantchuricum), avian, etiology consistent with Heterakis isolonche.

Conference Note: Conference participants discussed the controversial histogenesis of the spindled to polygonal cells comprising many of the nodules containing adult worms. A Masson's trichrome-stained section viewed in conference demonstrated very little collagen within these nodules. An immunohistochemical stain for lysozyme, an histiocytic marker, showed multifocal positive staining within some spindle and vacuolated polygonal cells.

In addition to pheasants, Heterakis isolonche infection has been reported in three species of quail in the United States, and in chickens in Tanzania. Another Heterakis species which may be found in cecal nodules is H. beramporia, which infects chickens in Asia and the Pacific area.

Contributor: PFIZER, B.P. 109, 37401 AMBOISE (France)

References:

1. Griner LA, Migaki G, Penner LR, McKee AE: Heterakidosis and nodular granulomas caused by Heterakis isolonche in the ceca of gallinaceous birds. Vet Pathol 14:582-590, 1977.
2. Riddell C. In: Avian Histopathology, ed. American Association of Avian Pathologists, Allen Press, Inc., Lawrence, KS, pp. 53-54.
3. Moore J, Freehling M, Platenberg R, Measures L, Crawford JA: Helminths of California quail (Callipepla californica) and mountain quail (Oreortys pictus) in western Oregon. J Wildl Dis 25(3):422-424, 1989.
4. Moore J, Freehling M, Simberloff D: Gastrointestinal helminths of the northern bobwhite in Florida: 1968 and 1983. J Wildl Dis 22(4):497-501, 1986.
5. Permin A, Magwisha H, Kassuku AA, Nansen P, Bisgaard M, Frandsen F, Gibbons L: A cross-sectional study of helminths in rural scavenging poultry in Tanzania in relation to season and climate. J Helminthol 71(3):233-240, 1997.
6. Soulsby EJL: Helminths, Arthropods and Protozoa of Domesticated Animals, 7th edition, Lea & Febiger, Philadelphia, 1982, p. 163.

 

Case IV - N97-1022 (AFIP 2597464)

Signalment: Three dead fetuses and one live (few hours old) mixed breed piglet (porcine) from the same litter.

History: Three hundred sows on the farm. Increased numbers of stillborn piglets over the last two weeks. Three stillborn or mummified fetuses in this litter of fifteen.

Gross Pathology: Four porcine animals were received. One animal was a 20 cm crown-to-rump length, moderately macerated fetus. A second animal was a 22 cm crown-to-rump length, mildly macerated fetus. The third animal was a 27 cm crown-to-rump length, fully haired, term, moderately autolyzed fetus. The remaining fourth animal was a live, fully developed, newborn piglet. The placentas of the three fetuses were also submitted and were severely autolyzed. All of the placentas contained abundant, creamy, opaque, white to yellow material. All four animals had numerous, 3 to 6 mm diameter, focal lesions, disseminated over the skin. The lesions had an elevated margin and depressed center. In the three fetuses, these foci were also covered with the same creamy, pale material found in the placentas. In the live piglet, the skin lesions were dry and scaly. The piglet also had elevated, red, circular lesions on the planum nasale and the palmar surface of the front claw.

Laboratory Results:

Bacteriology Results: Placenta #1: 4+Escherichia coli, 3+Streptococcus equisimilis, 2+Citrobacter freundii

Placenta #2: 2+Escherichia coli, 1+Streptococcus equisimilis, 1+Citrobacter freundii
Stomach fluid: Negative culture
Lung #1: ONE COLONY Escherichia coli
Lung #2: ONE COLONY Escherichia coli

Virology Results: Lung x 3 : FA Test for porcine parvovirus: NEGATIVE

Contributor's Diagnoses and Comments:

1. Three fetuses - diffuse, severe, suppurative placentitis due to a mixed bacterial infection.
2. Three fetuses and one piglet - in utero and congenital, multifocal, parakeratotic hyperkeratosis, acanthosis, and ballooning degeneration with intracytoplasmic inclusions of the epidermis due to poxvirus.

The skin lesions are of interest here. Swinepox is a host specific, enveloped, double-stranded DNA virus of the family Poxviridae (genus Suipoxvirus). Swinepox occurs worldwide and is endemic to areas of intensive swine production. Disease usually occurs in young, growing piglets, but congenital lesions have been described. The virus is typically transmitted through direct contact, but the presence of congenital disease indicates that transplacental infection is possible. Swinepox can be suspected on the basis of the gross appearance of the skin lesions. The diagnosis is supported by histological changes typical of poxvirus infections and by the characteristic appearance of poxvirus particles using electron microscopy. The association between swinepox infection and in utero death, stillbirth, and neonatal mortality of piglets is uncertain.
 
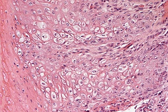
Case 15-4. Skin. There is proliferation and ballooning degeneration of the acanthocytes that contain occasional faint intracytoplasmic, eosinophilic poxvirus inclusions. 20X
AFIP Diagnosis: Haired skin: Dermatitis, proliferative, necrotizing, chronic, focally extensive, moderate, with neutrophilic folliculitis, multifocal microabscesses, ballooning degeneration and eosinophilic intracytoplasmic inclusion bodies, mixed breed, porcine, etiology consistent with swinepox virus.

Conference Note: The development of swine pox lesions progresses through the classical stages of macule, papule, vesicle, and pustule. Lesions usually resolve within 3-4 weeks after the appearance of the macule, unless they are complicated by secondary bacterial infection which may prolong the clinical disease. Young animals are more severely affected than adults, and lesions are generally more widespread. Neonatal pigs may have a generalized disease and widespread lesions, whereas adults usually develop a milder form of the disease with lesions on the udder, ears, snout, and vulva. Swinepox may have high morbidity (up to 100%) in young animals raised in unhygienic conditions. The mortality rate is usually less than 5%. In addition to direct contact and transplacental transmission, mechanical transmission by the pig louse (Hematopinus suis), as well as flies and mosquitoes, has been documented.5

Contributor: Department of Veterinary Pathology, Western College of Veterinary Medicine, University of Saskatchewan, 52 Campus Drive, Saskatoon, SK Canada S7N 5B4

References:

1. Neufeld JL: Spontaneous pustular dermatitis in a newborn piglet associated with a poxvirus. Canadian Veterinary Journal 22:156-158, 1981.
2. Borst GHA, Kimman TG, Gielkens ALJ, van der Kamp JS: Four sporadic cases of congenital swinepox. The Veterinary Record 127: 61-63, 1990.
3. Paton DJ, Brown IH, Fitton J, Wrathall AE: Congenital pig pox: A case report. The Veterinary Record 127: 204, 1990.
4. Paton DJ. Porcine congenital viral infections in Britain. Pig Veterinary Journal 27: 148-156, 1991.
5. House JA, House CA. Swine pox. In: Diseases of Swine, Leman AD, Straw BE, Mengeling WL, D?Allaire S, Taylor DJ, eds. 7th ed. Ames, Iowa: Iowa State University Press, 1992: 358-361.

International Veterinary Pathology Slide Bank:
Laser disc frame #1501, 1736-38, 2782-83, 4481-83, 4573-74, 4603, 5180-81, 6989-90, 7608-09, 9601, 9674, 13556, 20769, 21049-50.

Terrell W. Blanchard
Major, VC, USA
Registry of Veterinary Pathology*
Department of Veterinary Pathology
Armed Forces Institute of Pathology
(202)782-2615; DSN: 662-2615
Internet: blanchard@email.afip.osd.mil

* The American Veterinary Medical Association and the American College of Veterinary Pathologists are co-sponsors of the Registry of Veterinary Pathology. The C.L. Davis Foundation also provides substantial support for the Registry.

Return to WSC Case Menu.