Signalment: Adult, female, pregnant rabbit.
History: This doe was part of an atherosclerosis study involving embryo transfer. This naturally impregnated doe was due to deliver on 4/07/97. She delivered one underdeveloped stillborn kit on 4/03/97 but failed to expel the others. She was lethargic and depressed and continued to be so on 4/04/97. The animal was euthanized and submitted for necropsy.
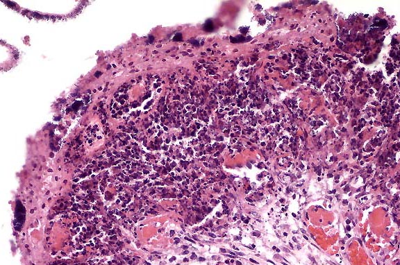
Gross Pathology: The pubic symphysis was partially dilated, and a serosanguineous discharge was present within the vaginal canal. Both uterine horns were distended, with the right horn containing three partially macerated fetuses and the left horn containing two fetuses in similar stages of degeneration. The uterine wall was extremely friable and hemorrhagic, with fibrin strands on the serosal surface of the uterus. A total of seven placentas was noted, with four present on the right side and three on the left side. Both the placentas and the wall of the uterus appeared necrotic. Mild atherosclerosis was present involving the proximal aorta. The heart appeared grossly normal. The lungs were diffusely moderately congested. The liver was yellowish-brown with increased friability, consistent with lipidosis. The kidneys, spleen, pancreas, and GI tract appeared normal, with a moderate amount of ingesta present in the stomach.
Laboratory Results: Bacterial cultures were obtained from the surface and lumen of the uterus. Staphylococcus aureus was cultured from an intrauterine site.
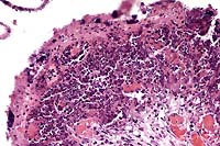
Contributor's Diagnosis and Comments: Uterus: endometritis, necrotizing, Staphylococcus aureus, diffuse, severe, acute. Placenta: ischemic necrosis, diffuse. Fetuses: maceration.
Etiology: Staphylococcus aureus
This rabbit had severe necrotizing metritis due to bacterial
infection of the uterus with Staphylococcus aureus. Numerous bacterial
colonies consistent with Staph. were present in the affected uterine
mucosa, and culture of the uterus yielded pure growth of Staphylococcus
aureus.
Staphylococcosis is characterized by fatal septicemia or suppurative
inflammation in an organ or body site caused by Staphylococcus
aureus and is a common disease in both domestic and wild rabbits.
The disease is usually sporadic and of little economic importance
for commercial rabbitries. Most often, suppurative lesions are
seen with staphylococcal infections, often leading to chronic
abscessation in affected sites. The acute, septicemic form occurs
mostly in neonatal kits and can have lesions ranging from few
and nonspecific to multifocal and suppurative in various organs,
including the lung, kidney, spleen, heart, and liver.
Metritis and fetal death associated with staphylococcal infection in rabbits are more rare and infrequent findings, but have been reported in some commercial rabbitries causing serious economic losses. Pyometra and metritis associated with Pasteurella multocida are more commonly seen, along with uterine adenocarcinoma, as the major uterine abnormalities in rabbits. Other bacterial agents reported infrequently to infect the uterus in rabbits include Chlamydia, Listeria monocytogenes, Moraxella bovis, Brucella melitensis, and Salmonella. In the staphylococcal outbreaks, metritis and abortions were reported, along with mastitis, ulcerative pododermatitis, interdigital abscesses, lung abscesses and pyothorax. Young rabbits showed no lesions prior to their death.

Conference Note: A gram-stained section viewed in conference confirmed that the cocci are gram-positive. Participants also viewed additional histologic sections from this case, including sections of placenta and fetal lung. The placenta was diffusely necrotic, and there were numerous colonies of cocci within the placenta and mesometrium, and within several fetal bronchioles. The latter finding suggests that there was periparturient fetal distress, with aspiration of placental fluid.
In addition to coagulase and -toxin, other significant soluble factors produced by staphylococci include hyaluronidase, which depolymerizes hyaluronic acid of connective ground substances; staphylokinase, which activates serum proteases to induce fibrinolysis; and -toxin, which lyses erythrocytes.1
Contributor: Veterinary Resources Program, National Center for Research Resources, National Institutes of Health, Bethesda, MD 20892-5230
References:
International Veterinary Pathology Slide Bank:
Laser disc frame #8424, 8497, 13886
Signalment: Adult, male, Cocker Spaniel dog.
History: The dog was treated for heartworms with Caparsolate® 4 days before death. He began vomiting after the last injection and vomited blood 2 days later. He became very lethargic and continued to vomit blood until death.
Gross Pathology: The stomach had red-black blotchy hyperemia on the serosa and mucosa with a moderate amount of dark red liquid, but no ingesta, in the lumen. Some dark red fluid was in the anterior intestine but the intestinal mucosa and serosa were not hyperemic. The kidneys had moderately pale, stippled cortices. The heart and lungs did not have any heartworms. Other organs were grossly normal.
Laboratory Results:
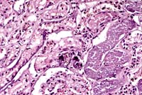
Contributor's Diagnoses and Comments: Necrohemorrhagic gastritis, severe. Renal tubular necrosis, moderate. Renal tubular basement membrane mineral- ization, mild.
The arsenic level of 3.1 ppm was considered positive. Caparsolate® (sodium thiacetarsamide) is hepatotoxic and nephrotoxic and one side effect is vomiting, although the severe gastric lesions seen here are not specifically mentioned in the product information. Acute arsenic poisoning can cause severe hemorrhagic gastritis or gastroenteritis regardless of the route of exposure. The toxic range of arsenic is variable, but 7-10 ppm in the liver or kidney is considered probably toxic, and normal is less than 0.5 ppm. Arsenic is rapidly cleared from the body (half-life is 1.5 days) so the level was probably much higher when the Caparsolate® injections were being given.
Conference Note: Several conference participants observed an amphophilic to basophilic granular material, which they interpreted as mineral, within the gastric mucosa. Results of a Von Kossa stain performed at the AFIP were equivocal.
Participants considered a differential diagnosis for processes which might lead to the combination of lesions seen in this dog, specifically renal tubular and gastric necrosis; gastric hemorrhage; and mineralization of renal epithelial cells and basement membranes. Gastric necrosis and mineralization can be secondary to uremia, so causes of acute renal damage were also considered. The possibility that this dog had preexisting hepatic or renal disease cannot be excluded although significant chronic changes are not evident in the examined sections of kidney. According to the contributor (personal communication), autolysis of the liver hindered histologic evaluation of that organ, but hepatic necrosis was not observed. It is unknown whether or not this dog had hepatic and renal function tests prior to heartworm treatment. This dog lived in a small agricultural community, but there was no history of exposure to arsenic other than via the heartworm treatment, or to any other known toxins.
Contributor: Arkansas Livestock and Poultry Commission Laboratory, #1 Natural Resources Drive, Little Rock, AR 72205
References:
International Veterinary Pathology Slide Bank:
Laser disc frame #4739, 20585-87
Signalment: 3-month-old, male, F344 rat.
History: This animal was given an experimental material orally 24 hours before sacrifice.
Gross Pathology: The liver was mottled and pale. There were no other gross findings.
Laboratory Results: AST: 26,760 (rat normal 75-118)
ALT: 15,360 (rat normal 29-65)
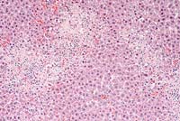
Contributor's Diagnosis and Comments: Moderate to severe, acute, multifocal to coalescing centrilobular hepatic necrosis.
Acute coagulative necrosis of the centrilobular region (Zone 3 of the liver acinus) is present throughout this section of rat liver. The necrosis of hepatocytes is most severe in zone 3, with complete dissolution of cytoplasmic components, karyorrhexis and karyolysis, and breakdown of sinusoidal endothelium with blood-filled "lakes" in the immediate vicinity of central veins. Phagocytosis by large cells assumed to be Kupffer cells is evident in the centrilobular region, and by Kupffer cells and intact hepatocytes at the periphery of the necrotic zones. Large numbers of neutrophils and lesser numbers of other mononuclear cells are abundant in or at the periphery of the necrotic zone (often approximating the Zone 2-3 boundary). Increased homogeneity of the hepatocytic cytoplasm with increased finely granular basophilia exists in the midzonal to centrilobular regions (Zone 1-2 of the liver acinus). Mitotic figures are rare throughout the section.
This case of acute hepatic necrosis occurred 24 hours following administration of coumarin (200 mg/kg). Coumarin and 3,4-dihydrocoumarin (a related derivative) have widespread use in perfumes, cosmetics, and other products as a fragrance enhancer. These chemicals were nominated by the Food and Drug Administration and the National Cancer Institute for carcinogenicity testing by the National Toxicology Program (NTP, 1993)
Coumarin toxicity in the liver is characteristic of the spectrum of lesions observed following acute high-dose administration of many hepatotoxicants. While no evidence of a regenerative response is yet apparent, cytoplasmic alterations evident in the midzonal region are highly suggestive of a chemical toxicity where the liver might respond with a subsequent regenerative wave of hepatocellular replication. These early cytoplasmic alterations are also consistent with studies illustrating the induction of microsomal enzymes by coumarin, an effect also characteristic of many hepatic toxicants and chemical carcinogens. Under chronic administration, coumarin has been shown to induce minor increases in renal tubular cell adenoma in male F344 rats, but did not induce hepatic tumors in male or female rats. In these two-year rat studies, the acute hepatocellular necrosis and cytoplasmic alterations observed at this dose have been shown to persist with continued exposure, and were shown to progress to bridging hepatic fibrosis with bile duct proliferation but not neoplasia.
Conference Note: Coumarin derivatives more familiar to conference participants are those which have been synthesized for use as anticoagulant rodenticides, such as warfarin, fumarin, pindone, diphacinone, brodifacoum, and bromadiolone. Moldy sweet clover poisoning of cattle was one of the first documented coagulopathies in animals. The sweet clover plant (Melilotus alba)contains coumarin, which is converted to dicumarol when the plant spoils in hay or silage. Ingestion of dicumarol or any of the above compounds results in the inhibition of vitamin K epoxide reductase, which causes the production of nonfunctional forms of the vitamin K-dependent coagulation factors II (prothrombin), VII (proconvertin), IX (Christmas factor), and X (Stuart-Prower factor). Factor VII has the shortest half-life, and thus is the first to be depleted, followed by factors IX and X. Prothrombin, with a half-life of about 40 hours, is the last to disappear. Depletion of these factors prolongs both the PT and the APTT, but does not interfere with platelet numbers or function, nor does it decrease fibrinogen concentration.
Contributor: The Proctor & Gamble Company, Miami Valley Laboratories, P.O. Box 398707, Cincinnati, Ohio 45239-8707
References:
International Veterinary Pathology Slide Bank:
Laser disc frame #16318
History: This animal was euthanized. The lesion was an incidental finding at necropsy.
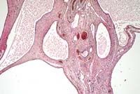
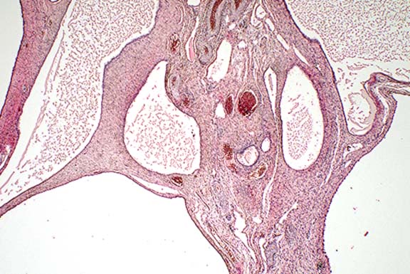
Gross Pathology: Bilateral, multiple, thin-walled cysts, up to 2 cm in diameter, were visible in the ovarian parenchyma.
Contributor's Diagnosis and Comments: Cystic rete ovarii.
Multiple cysts of variable diameter (up to 2 cm) displacing the ovarian parenchyma are visible. The cyst lining varies from single to several layers of flattened to cuboidal epithelium. Some of the cysts are lined by cuboidal ciliated epithelium. Several cysts are filled with proteinaceous fluid. Occasionally folds which protrude into the cyst lumen and contain a blood vessel in the apical part can be observed.
In cats, as in other mammals, the rete ovarii consists of three parts: an intraovarian rete system, a connecting rete system, and an extraovarian system. The intraovarian rete is located in the ovarian medulla and is lined by cuboidal epithelium. At the tubular extremity of the ovary, the intraovarian system becomes a reticular formation of dilated tubules lined by ciliated columnar epithelium- the connecting rete. The extraovarian rete consists of tubules composed of ciliated columnar cells extending from the connecting rete and ending blindly in the periovarian tissue. Cysts of the rete system have been described in different species including cats. The epithelial lining of the cyst walls can vary from single to several layers of cuboidal or flattened to columnar and ciliated epithelial cells.
Conference Note: Cysts of the ovarian rete are only one of sixteen different types of cysts occurring in and around the ovary of domestic animals.3 The incidence and relative significance of these is variable among animal species. In the cow and sow, follicular cysts are most frequent, and are important causes of infertility. These occur less frequently in the bitch and queen. Cats with follicular cysts may show signs of hyperestrogenism. On the other hand, cystic rete ovarii are most common in the bitch and queen, and seldom if ever cause clinical signs.
Histologic differentiation of the various types of cysts can
be difficult. Important features include the type(s) of epithelium
lining the cyst, presence or absence of smooth muscle in the wall
of the cyst, and anatomic location.
Contributor: Institute of Animal Pathology, Zoo Animal
Pathology, University of Berne, Laenggassstrasse 122, CH 3012
Berne, Switzerland
References:
International Veterinary Pathology Slide Bank:
Laser disc frame #1019, 2704, 5145, 11889
Terrell W. Blanchard
Major, VC, USA
Registry of Veterinary Pathology*
Department of Veterinary Pathology
Armed Forces Institute of Pathology
(202)782-2615; DSN: 662-2615
Internet: blanchard@email.afip.osd.mil
* The American Veterinary Medical Association and the American College of Veterinary Pathologists are co-sponsors of the Registry of Veterinary Pathology. The C.L. Davis Foundation also provides substantial support for the Registry.